Home
Home

 

Weitere Teile dieser Story

» Start: Unfall und Operation in Chur

» Reha in der Klinik Valens

» Back Home

» Raus mit den Schrauben und zurück auf die Skis


» Diagnose im Januar 02: Dritte Operation nötig

» April 2002: Nieder mit der Eminenz

» November 2002: Die Gelenkputzete

» Sommer 2005: Eine Korrektur mehr

» Mai 2007: Das Metall kommt raus

» 2020: Die Prothese

 
 

Echo und Feedback

Falls jemand seine eigene Story mit Beinbruch und Genesung (nach Wunsch auch anonym) veröffentlichen will, nur zu - es sollen möglichst viele Leute von solchen Berichten profitieren können. In diesem Forum sind die Reaktionen zu lesen.

 
 

Wichtiger Hinweis

Ich bin nicht Arzt, sondern Patient. Da jeder Unfall, jede Krankheit anders ist und die Heilung und Behandlung individuell verlaufen, sind diese Seiten keinesfalls als Beratung oder der Weisheit letzter Schluss zu verstehen. Ich warne auch davor, Teile auszudrucken, damit zum Arzt zu rennen und zu sagen "aber hier liefs doch so und so, machen sie das bitte auch" - bitte auf gar keinen Fall! Diese Seiten sollen allenfalls Denkanstösse und grobe Vergleiche liefern, ersetzen aber keinesfalls das fundierte Urteil von Fachpersonen, die eure Geschichte und Allgemeinzustand kennen. Darum beantworte ich auch allfällige Anfragemails nur äusserst zurückhaltend. Erste Ansprechperson ist eurer Arzt bzw. eure Ärztin. Auf diesen Seiten wird allein meine persönliche Meinung dargestellt. Meine Ärzte haben Kenntnis von dieser Seite, der Inhalt ist aber nicht mit ihnen abgesprochen oder von ihnen gutgeheissen.

 
 

Weitere Berichte rund um Gebrechen

Morbus Bechterew kann ganz schön mühsam sein - besonders wenn noch ab und zu eine Iritis dazu kommt.

 

Werbung

» Zu den Reaktionen Betroffener

22. April 2005: Saisonschluss

Das Wetter war zwar Schrott im April - aber der Saisonschluss auf der Engstligenalp ein Traum. Skifahren verschlimmert die vorhandenen Schmerzen kaum; das steht nach dieser langen Saison fest. Gehen verursacht ungleich mehr Schmerzen als ein Skitag, besonders wenns bergab geht. Jetzt ists aber Zeit für Frühsommer. Ab in die Provence!

12. Mai 2005: Mist, Mist, Mist

Die Schmerzen sind entweder immer noch da oder in letzter Zeit wenig stärker geworden - wenn sie auch im Alltag meistens nicht störend sind. Trotzdem: Es war wieder einmal eine Röntgenkontrolle bei Prof. Hans-Ulrich Stäubli im Salemspital Bern angesagt, der mich aus Chur übernommen hat - erfreulicherweise: Prof. Stäubli geniesst einen exzellenten Ruf (alle, die ich um ihre Meinung fragte, reagierten etwa so: "Ja, wenns DER sagt, dann ists auf jeden Fall so!") und hat u.a. auch schon andere Bündner Oberländer mit lädierten Knien operiert... hier bin ich also in besten Händen. Zudem liegt das Salemspital einen Steinwurf vor meiner Haustüre. Weniger erfreulich waren dann aber die Ergebnisse der Röntgenbilder: Das Knie muss so schnell wie möglich nochmals operiert werden. Das heisst wohl diesen Sommer nochmals den ganzen Karsumpel: Ops, Reha, Krücken, ... ich fass es nicht! Der Bericht ist hier abrufbar.

20. Mai 2005: Die Details sind bekannt

Anfang August solls so weit sein: Die Röntgenbilder zeigen, dass die Belastungsachse falsch liegt und die innere Gelenkfläche zu stark belastet ist. Hier gibts praktisch "Knochen auf Knochen". Durchgeführt wird nun eine "medial aufklappende, treppenförmige Tibia-Osteotomie", was soviel heisst wie: Schienbein unterhalb des Knies aufsägen, einen Keil rausnehmen und mit einer Platte wieder zusammenschrauben. Dies wird die Belastungsachse Richtung Mitte legen und das Gewicht besser verteilen. Dazu gibts eine Arthroskopie des Kniegelenks, bei der diverse Knochenwucherungen entfernt werden. Rund drei Monate Krücken sind angesagt. Im Vergleich zum künstlichen Kniegelenk, das mir in rund 20 Jahren blüht, Peanuts...

Aufs Bild oder hier klicken für eine grosse Fassung!

2. Juli 2005: Noch 5 Wochen

Einerseits bin ich gespannt darauf, was da kommt - schliesslich weiss ich noch, wie freundlich die Menschen zu Leuten mit Krücken sind. Andererseits gurkt es mich unheimlich an, ab dem 8. August für mehrere Wochen nicht mehr mobil zu sein und bloss zuzuschauen, wenn andere in die Aare hüpfen. Drum: Jetzt noch so viel wie möglich unternehmen. Berge, Städereisen, Aare, Velofahren, Leute besuchen - tönt jetzt recht doof, aber ich würde das alles kaum so sehr geniessen, wäre nicht dieser ominöse 8. August. Hat also alles was Gutes.

22. Juli 2005: Noch rund 2 Wochen

Nalps, 22. Juli 2005Ich lebe nochmals so intensiv wie möglich, im Wissen, dass ich nach der Ops einige Wochen nicht sehr mobil sein werde. So viele Bahnkilometer in so kurzer Zeit hab ich wohl kaum je fertiggebracht. Macht Spass - obwohl das Knie fast täglich meldet, dass es doch bitte gerne langsam operiert werden möchte. Immerhin: Die Velotour heute Nachmittag von Sedrun nach Nalps hab ich bestens überstanden. Ich war sogar eine Minute vor einem fitten 14jährigen oben, der mich schon kurz nach dem Unfall bestens betreut hatte :)

29. Juli 2005: Bakterien?!

Schulmedizin und Naturmedizin vereintMuss das denn auch noch sein? Anstatt wie geplant meine zukünftige Blumengiess-Equipe zum Aarebräteln einzuladen, nochmals ausgiebig im Fluss zu schwimmen und alle offenen Projekte sauber abzuschliessen, wird Blut abgezapft, werden Abstriche genommen... inzwischen scheint klar, dass mich irgend ein Käfer ereilt hat. Was sich zunächst wie eine Sommergrippe angefühlt hat, sind wahrscheinlich Bakterien, die eine Scharlach nicht unähnliche Krankheit ausgelöst haben. Zumal ich wegen des Rheuma-Medis ein geschwächtes Immunsystem habe, ist das nicht gut - gar nicht gut. Nun denn: Mit Antiobiotika bewaffnet gehe ich die letzte Woche vor der Operation an und hoffe, dass sie deswegen nicht verschoben werden muss. Grmbl. - Immerhin: Die Betreuung im Inselspital war wieder mal bestens. Nur dank der speditiven Behandlung konnte ich planmässig in die Provence abrauschen.

5. August 2005: Alles ist offen

Es waren tatsächlich Streptokokken, wie sich nachträglich herausgestellt hat. Das hat man dann von der immunsupressiven Wirkung des Rheuma-Medikaments. Jä nu. Nun ist die Frage: Kann man mich operieren? Nach einer Woche Antibiotika muss zuerst mal ein Bluttest gemacht werden. Am Samstag gehts dafür in die Insel, netterweise hat man sich dort unkompliziert dafür bereit erklärt; das Ergebnis wird ins Salem gefaxt. Am Montag um 06.45 Uhr rücke ich im Ungewissen zur Operation ein - womöglich werde ich auch wieder nach Hause geschickt und muss eine Woche später antraben. Mühsam. Aber lieber eine Verzögerung als eine Operation mit der Gefahr einer schweren Infektion.

7. August 2005, 23 Uhr: We're All Go

Von mir aus kanns losgehen: Ich bin nach einer Woche Provence bestens erholt, bin nochmals tüchtig unterwegs gewesen dieses Wochenende, die Wohnung ist mit Vorräten gefüllt, CRP und Leukozyten sind laut dem samstäglichen Test auf Normalwerte gesunken; auch sonst deutet nichts auf eine Entzündung hin. Nun kann nur noch der Big Boss sein Veto einlegen - sonst bin ich in etwa 16 Stunden fixfertig operiert und verschnürt im Salemspital, fasle Unsinn und vergesse alles... kennen wir ja inzwischen zur Genüge. Mein mobiles Multimedia-Büro kommt natürlich mit - und so melde ich mich hoffentlich bald wieder. Danke schon mal an alle fürs Daumendrücken und Magali, Annina, Sebi und Bärni fürs Wohnunghüten und Blumengiessen. Der Puls steigt.

Montag, 8. August 2005, 9 Uhr: Es geht los

Aussicht aus dem Salem, 8.8.2005, 7 UhrEin gutes Omen: Heute Nacht hats bis weit runter Neuschnee gegeben. Die Operation beginnt um 10.45 Uhr - die Landung der Discovery verpasse ich wohl, um etwa 13 Uhr sollte ich wieder aufwachen. Die allseits beliebte Kinetec-Schiene ist bereits angepasst, für den Anfang sind immerhin nur 20 Grad Beugung verschrieben. In 15 Minuten zünden die Bremsraketen - dann gibts die erste Ration Sedativa. Zu aller Unbill musste ich noch so extrem sexy OP-Unterhosen anziehen, die gibts sonst wohl nur im Beate-Uhse-Shop für Doktorspielchen; iieks. Also geniesse ich lieber noch ewas die schöne Aussicht.

8. August 2005, 22.45 Uhr: Nid grad zwäg

IMC Salem - ächz, stöhn... Klicken für grössere Fassung!Ich steh unter Morphium & Co. und machts drum kurz, weil ich mich ständig vertippe: Ich muss die erste Nacht im Beobachtungsraum (Intermediate Care) verbringen, da es mir nicht wirklich gut geht und ich recht schwach auf den Beinen bin bzw. auf dem Rücken. Die OP lief offenbar aber planmässig ab; mehr erfahre ich erst morgen. Am Beckenkamm wurde wie 2001 Spongiosa entnommen. Jedenfalls betreut mich hier unten momentan ein lustiges Team vorbildlichst. Das grösste Problem sind nicht die Schmerzen; ich muss ich mich dummerweise stündlich übergeben... toll. Gegen die Schmerzen hilft aber eine nette kleine Medi-Pumpe, mit der ich meinem Körper theoretisch alle acht Minuten deliriös machende Substanzen zuführen kann. Ach ja: Für diesen Text benötigte ich etwa eine halbe Stunde... plus 10 Minuten Korrektur. (Aufs Foto klicken für grössere Fassung!) - Und Danke, Sabine und Ursina, für den Besuch, auch wenn ich mich kaum dran erinnern kann :)

 


Dienstag, 9. August 2005, 09.30 Uhr: A Room With a View

Wie die Discovery hatte ich so gewisse Anlaufschwierigkeiten - jetzt sitz ich aber einigermassen gemütlich im Zimmer Aussicht aus dem B304B304 mit Aussicht auf die Altstadt und die frisch überpuderten Berner Alpen. Ich bin zwar todmüde (in der Nacht war ständg was los in der Intermediate Care: Ein Rollerfahrer mit Oberschenkelbuch wurde u.a. eingeliefert, jede Stunde wurden meine Werte gemessen), aber es ist mir immerhin nicht mehr schlecht. Laut Kürzestauskunft von Prof. Stäubli lief die Ops nach Plan, er konnte alles wie gewünscht machen. Teile des Knies seien aber in einem äusserst schlechten Zustand, das sei während der Atrhroskopie umso deutlicher geworden. Bilder davon folgen bald.

9. August 2005, 10.15 Uhr: Ansichten eines Knies

Knie von innen - klicken für grössere FassungNun sieht man dieses vermaledeite Gelenk endlich mal von innen! Ich erkenne zwar nichts - aber falls jemand mehr aus diesen Strukturen rauslesen kann, bin ich dankbar für Informationen... Bitte auf das Foto klicken für eine grössere Fassung! (Auf dem Bild rechts oben, wie mir inzwischen erklärt wurde, ist unten das Tibiaplateau sichtbar, oben die Gelenkfläche des Oberschenkels, hinten der Meniskus - die unregelmässige Fläche bedeutet, dass ich eine für mein Alter massiv fortgeschrittene Arthrose habe. Im Bild links unten ist ein Teil eines nachträglich entfernten Knochenfragmentes im Hintergrund sichtbar.)

9. August 2005, 11.20 Uhr: 3...2...1... Touchdown!

Mittag im Salem - aufs Bild klicken für grössere FassungLanding Gear Down - und das noch vor der Discovery. Wäre zwar auch lieber in Kalifornien gelandet, aber mit Eiger, Mönch und Jungfrau im Angesicht ists auch nicht übel, wieder aufzustehen (aufs Bild klicken für grössere Fassung der Zimmer-Aussicht). Mit Hilfe der Physiotherapeutin im Laufgestell - erstaunlicherweise wurde es mir weder drümmlig noch übel. Nun ist das Bein bereits auf der Kinetec-Schiene und wird sanft gebeugt und gestreckt. Schmerzen habe ich erstaunlich wenig; eigentlich fast keine. Die Sonne scheint rein, bald gibts essen, bald kommt Sebi, mein Mitbewohner ist brav - also... eigentlich gehts mir richtig gut!

9. August 2005, 15.20 Uhr: Blut

Das Mittagessen war gourmetmässig, die Landung der Discovery bilderbuchmässig. Schon zum zweiten Mal darf ich nun kurz aufstehen und an Stöcken gehen (Maximalbelastung des operierten Beines 20kg), ein gutes Gefühl.

9. August 2005, 20.45 Uhr: Blutrote Alpen

Dr. Kotsaris, Oberarzt von Prof. Stäubli, muss seinen Ausgang leider kurz unterbrechen; die untere Narbe blutet stark nach. Momentan reiche aber hochlagern. Abendrot - aufs Bild klicken für grössere FassungIm Gespräch deutet er nochmals an, dass meine Gelenksflächen sehr stark geschädigt seien; dass die ausgeführte Operation aber das einzig Richtige momentan sei. Eventuell müsse man vor dem künstlichen Gelenk noch ein, zwei Mal Arthroskopien vornehmen, in denen versucht werde, den Knorpel weiter zu erhalten. - Claudia, Agnes und Eliane machen Stippvisite - fast schon wie daheim... Blutrot verfärben sich auch die Berner Alpen; das Abendrot über Eiger, Mönch und Jungfrau versüsst den dritten Ausflug ans Fenster (aufs Bild klicken für grössere Fassung).

Mittwoch, 10. August 2005, 8.45 Uhr: Bewegung

Frühstück - klicken für grössere FassungProf. Stäubli beugte und streckte heute morgen das Knie erstmals recht extensiv - o Wunder, es chroost gar nicht mehr im Gelenk! Die Arthroskopie hat also deftig was bewirkt. Auch mit der mittels Osteotomie (Schienbein-Sägerei) korrigierten Gelenksachse war er sehr zufrieden. Freude! Und wieder einmal ists ein herrlicher Spätsimmermorgen - nachher darf ich mit Hilfe erstmals ins Bad. Der Verband bleibt vorerst noch zu. Immerhin: Es hat in der Nacht nicht mehr hindurchgeblutet. Auch bleibe ich bis auf weiteres an der Infusion (Ringerlactat, Augmentin, Ketalar/Morphin nach Bedarf), da das Risiko nach der Streptokokken-Infektion der letzten Tage möglichst tief gehalten werden soll; Antibiotika iV machen wenigstens keinen Durchfall.

10. August 2005, 20.45 Uhr: Ein schlapper Tag

Irgendwie war ich heute nicht wirklich fit. Zweimal aufstehen und die etwas forcierte Physio scheinen Spuren Yo Man - klicken für grössere Fassung (Foto: Franca Theile)hinterlassen zu haben. Schon komisch: Nur schon ein Ausflug ins Bad (etwa sieben Meter Distanz, ca. 3 Minuten) bringt mich vollends ins Schwitzen. Also hab ich am Nami etwas gedöst. Um am Abend umso intensiver mit meinem Zimmerkollegen Thun zum Sieg gegen Malmö anzutreiben - jetzt solls der FCB bitte den Oberländern gleich tun! Zurück zum Knie: Ich hab noch ein wenig nach Arthrosen und Arthroskopien Our house - klicken für grössere Fassunggegoogelt: Dr. Lengerke liefert wie immer tolle Infos und Bilder, hier gibts Infos rund um Kniearthrosen, hier ebenfalls, hier sieht man schöne Bilder aus dem Inneren eines auch schon recht kaputten Knies, und hier sowie hier ist schön sichtbar, dass mein Knie definitiv in die Kategorie "Senioren" gehört. Zur Erinnerung: Mein Arthroskopie-Bild ist hier abrufbar. - Ach ja, und am Nachmittag hab ich noch ein wenig zum Fenster raus spioniert: Was machen denn meine Nachbarn grad so? - Danke an Sebi, Franca, Monica und Ricardo fürs Vorbeischauen im B304! Auf dem hochgelagerten Knie liegt inzwischen wieder ein Eisbeutel, die Wunde hat heute nicht mehr nachgeblutet. Alles ok.

Donnerstag, 11. August 2005, 16.30 Uhr: müüüüde

Heute gibts keine grossen Sprüche und News: Ists das Wetter? Ich bin müde, müde, müde... schlapp und schläfrig. Etwa wie mein neuer, soeben am Knie geopster Zimmerkollege Dänu. Immmerhin gabs am Morgen zwei kleine Ausflüge in den Gang und - gut verpackt - in die Dusche. Und Anita und Markus waren da! Mehr, wenn ich wacher bin...

11. August 2005, 20.30 Uhr: Besuchsabend

Nach dem Znacht, das immer viel zu früh serviert wird, gings wieder etwas besser - und so konnte ich die Überraschungsbesuche von Alexis, Carola, Barbara, Miriam und dem guten alten Bärni sehr geniessen und sogar eine Spielrunde "Anno Domini" im Gästeaufenthaltsraum machen.

Freitag, 12. August 2005, 09.45 Uhr: Röntgenbilder

Röntbenbild 11.8.2005 - klicken für grösseer FassungGute Neuigkeiten: Endlich von den Schläuchen und diesem sehr praktischen Infusionsständer befreit! Das erste Mal wieder in seitlicher Lage geschlafen! Welch immensen Geschenke - das erhöht die Lebensqualität schon mal beträchtlich, auch wenn ich noch immer recht schläfrig bin und schwere Augenlider habe. Vorhin schlich ich mich nach dem Röntgen zum ersten Mal an die Sonne raus. Blick auf die Berner Alpen und die Gantrischkette im Morgenlicht... Tut das gut! - Ach ja, Röntgen: Vorerst gibts nur Handyfotos, aber da sieht man schon, dass recht herumgesägt wurde... uff. - Prof. Stäubli war soeben da und ist weiterhin zufrieden. Jetzt gehts bald in die Physio. Das Morgenpanorama ist wieder einmal traumhaft (klicken für grössere Fassung).

Morgenpanorama, 12. August 2005 - klicken für grössere Fassung

12. August 2005, 11 Uhr: Tickets to Paradise

Ich liege auf der Kinetec-Schiene, schaue die Alpenkette an und höre volle Pulle Eddie Moneys wiederentdeckten 78er-Hit "Two Tickets to Paradise" und döse dazu. Gut.

12. August 2005, 16 Uhr: Paradiesgarten

Erstklassiges Zmittag - klicken für grössere FassungNach einem einmal mehr superfeinen Zmittag (Pangasiusfilet) mit Sabine im paradiesisch schönen Garten (Fischteich, Enten, Reiher, Alpenblick, Glacéstand) sitzen war cool; diesmal konnte ich im Gegensatz zum Montagnachmittag sogar mit ihr kommunizieren :) Jetzt bin ich wieder müüüüde und döse gleich wieder bis zum Znacht - ist wohl auf meine nicht eben exzellenten Blutwerte zurückzuführen. Das Hämoglobin z.B. war am Samstag noch auf 146 g/L, jetzt noch auf 118 (Norm 140-180). Das CRP ist auch noch auf 23, Hämatokrit und Erythrozyten sind deutlich unter Norm. Die Ops war wohl doch eine etwas blutige Angelegenheit. - Merci auch an Sabine II. für den Abendbesuch!

Samstag, 13. August 2005, 22 Uhr: Ein netter Samstag

Am Salem-Teich - aufs Bild klicken für grössere FassungAuch heute überwog die Müdigkeit, am Abend wurde es etwas besser. Elternbesuchstag, Annina liefert frische Wäsche - Merci! -, im Garten sitzen, Enten, Karpfen und Katzen beobachten. An Stöcken gehen ist OK, aber noch recht anstrengend. Am Salem-Teich - aufs Bild klicken für grössere FassungDoch ich versuche dem Befehl der Physio, möglichst viel zu gehen, nachzukommen. Am meisten "sticht" die Wunde am Beckenkamm, vor allem die Stelle der Osteotomie meldet sich auch bei bestimmten Übungen. Eis und Hochlagern helfen. Am Abend gesellten sich zur Katze Jimmy (auf Bild klicken für grössere Fassung) zwei ebenfalls sehr nette Artgenossen. Jimmy mit seinem Namensschild, im Bambus dösend und bei Bauchkraulen schnurrend, war aber definitiv die positive Überraschung des Tages. - Ach ja: In der Nacht hab ich geträumt, ich sei komplett schmerzfrei Ski gefahren und hätte am Lift unten begeistert erzählt: "Ich habe gar nichts mehr gespürt, keine Schmerzen mehr - nichts!"

Sonntag, 14. August 2005: Regen

So schön hat der Tag begonnen...

14. August morgens - aufs Bild klicken für grössere Fassung

... und jetzt schiffts in Strömen, bääh. Und ist kalt. Und ich muss immer iieksnoch diese grässlichen Thrombosestrümpfe tragen, wenn ich aufstehe - sowas aber auch. Ansonsten fühle ich mich zum ersten Mal heute wieder halbwegs motiviert, etwas geistige Arbeit zu leisten - sicher kein schlechtes Zeichen. Etwas Sorgen machen mir die Gefühlsstörungen in der Leistengegend, aber dagegen gibts bald wieder Neurontin, wie vor vier Jahren auch schon mal. Mühsam sind die Bauchschmerzen, die wohl von den vielen Medis herrühren. Das Knie selbst schmerzt im bisher bekannten Rahmen, das ist gut auszuhalten. Aber mit dem coolsten Zimmernachbar aller Zeiten ist geteiltes Leid halbes Leid. (Auf Bilder klicken für grössere Fassungen)

Montag, 15. August 2005, 9 Uhr

Langsam kommt wieder etwas Routine ins Leben, und der Austrittstag rückt näher. Am Mittwoch gehts heim. Auch wenn ich nicht sonderlich drauf erpicht bin, daheim wieder alles mit Rucksack von einer Ecke der Wohnung in die andere zu transportieren und auf Hilfe angeweisen zu sein. - Gestern Abend erstrahlte noch ein schöner Regenbogen über dem Obstberg.

15. August, 23 Uhr: Eine Woche danach

Lucia, Ursina und Salome ("in diesem Spital riechts gar nicht nach Spital, eher nach Skilager") versüssten den Abend - und ich sitze im Aufenthaltsraum, sodass mein neuen Zimmernachbar (87 und frisch operiert) in Ruhe schlafen kann. Ist auch ein guter Test für daheim: Wieder möglichst mobil und erfindungsreich, was Transportmöglichkeiten angeht. Ich habe inzwischen bessere Fotos der Röntgenbilder erstellt und ein paar Spielereien gemacht - bitte auf Bilder oder Links klicken für grössere Fassungen:

Auswahl von unbearbeiteten Röntgenbildern in guter Auflösung
   
 Seitliche Bilder, Serie 2001-2005
   
 Vergleich der Tibia vor und nach der Osteotomie, mit Animation - hier ist schön sichtbar, wie die Gelenksachse gemäss dem Plan vom Mai korrigiert wurde
   
 Neuste Röntgenvarianten erlauben die Darstellung der Knochen unterwegs in voller Aktion

Dienstag, 16. August, 10 Uhr: Auch noch der Zahn

Blödes Vieh von Zahn, grrrr... - Auf Bild klicken für grössere FassungWirklich nett: Prof. Stäubli legt mir ans Herz, ich solle wegen der Infektionsgefahr insbesondere auf eine tadellose Zahnhygiene achten. Und beim Frühstück bricht mir ein rechtes Stück Zahn heraus, das auf akute Karies hinweist. Nun denn, der Fall liegt bei Meisterdentist Philipp, der schaut sich das mal an. Und ich gelobe, mir die Zähne etwas besser zu putzen *räusper*. - Ansonsten all systems go for launch: Morgen Mittwoch gehts wieder nach Hause, weiter Bein hochlagern und kühlen. Die Schmerzen sind nun, da ich mich etwas mehr bewege, leicht stärker geworden. Die Gefühlsstörungen in der Leistengegend haben dank Neurontin etwas abgenommen.

16. August, 17 Uhr: Guter AZ

Wie heisst das amix so schön in Arztberichten: "Pat in gutem AZ" - ja, mein Allgemeinzustand ist wieder OK, ich mag wieder motiviert Sachen anpacken, habe keine Bauchschmerzen mehr, schlafe einigermassen OK, bin nur noch ganz wenig groggy, hab sogar ab und zu Lust auf was Süsses und freue mich eigentlich schon fast auf mein "Leben danach" ab morgen früh. Das chunnt guet. Am Montag kommen dann die Fäden raus. - Jimmy im Garten liegt wieder frech mitten auf dem Weg; Mirjam ist der letzte Gast.

16. August, 21 Uhr: Der letzte Abend

Ich hänge einbeining am Fenster. Die Bise rauscht durch die Bäume, Schafglockengebimmel, Abendrot. Die Aare schlängelt sich aaregrün gen Lorraine. In der Altstadt gehen langsam die Lichter an. Dieses Salemspital ist schon genial gelegen. Aber auch sonst waren es äusserst angenehme neun Tage - jedenfalls so angenehm wie's halt möglich ist, wenn an einem herumgeschnipselt wird. Das Essen ist herrlich. Die Information ist professionell, das Corporate Design ist vom Flyer bis zum Kopfkissen eingehalten. Der Garten mit seinem Teich und Glacéstand ist umwerfend. Und ganz besonders: Die Pflegenden sind supermotiviert und zuvorkommend, der Room Service tadellos. So macht Gesundwerden Spass. Jetzt müssen sie nur noch ein WLAN aufstellen, dann ists perfekt.

Mittwoch, 17. August 2005, 11 Uhr: Home Sweet Home

Auch wenn der Abschied vom Salem schwer fiel - daheim ists auch ganz schön. Das Treppensteigen war hingegen etwas mühsam - well, I'll get used to that. Vielen Dank an Markus und Anita fürs chauffieren, die Einkaufshilfe und das Essen. Jetzt sitz ich in meinem Bett, unterhalte mich mit dem Internet (endlich wieder ADSL) und "RTL2 - Die Ungezieferjäger", in der Hoffnung, meine Wohnung sehe nicht bald auch so aus. Die Sonne scheint zum offenen Fenster rein - im Salem würd ich nun immerhin die Alpen sehen und könnte in den Garten, grummel. Das Wetter ist fast schon frühherbstlich: Morgennebel, klare Luft und ein Rest Sommerwärme.

Donnerstag, 18. August 2005, 17 Uhr: Erste Reise

Das war gut: Gestern Abend mit Spitex-Helfer Bärni Fussball schauen und sich etwas bedienen lassen, heute eine kleine Reise zu "Fuss" unternehmen - ich musste endlich raus aus meinem Gefängnis. Via Altenberg ins Salemspital, dort zufällig den Opsbericht in die Hände gedrückt bekommen, ein wenig am Karpfenteich sitzen und lesen (ja, ich hatte Heimweh) - und mit dem 10er- und 12er-Bus wieder heim, als sich dunkle Gewitterwolken bemerkbar machten. Jetzt bin ich zwar müde, aber das tat extrem gut! Vor allem den Oberarmen.

Samstag, 20. August 2005: Schwarzes Blut

Oh, bitte nicht... inzwischen wurde ich netterweise von nahen Verwandten in die Berge verlegt und werde wunderbar betreut, und auch wenns hier in Wengen in Strömen schifft, würde ich doch meine Zeit gerne anders als beim Dorfarzt verbringen: Durch eine kleine Lücke in der Narbe hat sich nachts der eine Bluterguss am Schienbein in den Verband entleert, ekliges dunkles dickflüssiges Blut... sollte nun aber wieder OK sein. Ist ja vor vier Jahren am Beckenkamm auch schon mal passiert. Trotzdem, kein angenehmes Gefühl, vor allem wenn man keine Ahnung hat, was die Schmerzen bedeuten: Infekt? Normaler Heilungsprozess? Überbelastung? Wer sich das partout anschauen will...

Sonntag, 21. August 2005: Alles wieder OK

Es schifft in Strömen - endlich wieder mal Zeit für Arbeit und liegengebliebene Zeitungen. Die aufgeplatzte Narbe wurde heute vom Dorfarzt nochmals desinfiziert und neu verbunden. Sollte also alles im Lot sein. Infektionszeichen gibts keine. Im Knie macht sich aber ein neuer, stechender Schmerz im medialen Kompartiment breit, der obermühsam ist.

Montag, 22. August 2005: Wasser, Wasser, Wasser

Thema des Tages ist das Hochwasser - da ist mein Knie nebensächlich. Wenige Meter von meiner Hochwasser 22.8.2005 - Klicken für grössere FassungWohnung entfernt spielt sich eine Tragödie ab. Die Aare fliesst mitten durchs Quartier, das Wasser hat eine unbändige Kraft. Was für ein Kontrast zum friedlichen Fluss noch vor wenigen Tagen. - Nun, im Salem war zum Glück nichts überschwemmt. Die Fäden wurden nur teilweise gezogen, da die Narbe in der letzten Nacht wieder aufgegangen ist und dunkles Blut sich den Weg nach aussen gesucht hat. (Aufs Bild klicken für grössere Fassung)

Dienstag, 23. August 2005: Surreal

Trotz Schmerzen im Knie musste ich heute einfach paparazzen gehen, wie so viele. Kommentar einer Velofahrerin auf der überfüllten Kirchenfeldbrücke: "Spinned dir alli?" - Nun denn: Ja, schon ein bisschen. Aber bei aller Betroffenheit und Solidarität mit den Betroffenen, sowas will für die Nachwelt konserviert sein. Hier sind die Bilder von gestern und heute.

Mittwoch, 24. August: Helikopter

Die Rega schwebt seit dem Morgen pausenlos über meine Wohnung und Die Rega mit zwei Helis im Einsatz - aufs Bild klicken für mehr Fotosevakuiert die in der überfluteten Matte eingeschlossenen Menschen. Alles vibriert, wenn der Heli einschwebt, der Rotorwind sorgt für etwas Wind - es ist wieder recht warm geworden. Lieber ein wenig Krücken als eine überflutete Wohnung und Zwangsevakuierung, denk ich mir da. - Die Physio lief gut; nachher spazierte ich via Aargauerstalden-Altenberg heim und schoss noch ein paar Gaffer-Fotos.

Freitag, 26. August: Alle Fäden draussen

Klicken für grössere FassungHeute wurden alle Fäden gezogen, die dritte Physio lief gut - langsam habe ichs gut im Griff, wieviel ich forcieren darf, ohne nachher allzu starke Schmerzen Klicken für grössere Fassungzu haben. Allzu lange halte ichs nicht aus, ohne das Bein hochzulagern; der Bluterguss ist aber schön zurückgegangen und das ganze sieht recht gut aus. Der Befehl lautet: Hochlagern, so viel üben wie schmerzfrei geht, das Gelenk in Bewegung halten. - Fast vergessen: In meiner Akte habe ich ein neues Arthroskopiebild entdeckt.

Dienstag, 30. August

Der Hochlagerungs- und Übungsalltag macht bei schönem Wetter auch nur bedingt Spass: Wäre jetzt lieber draussen in den Bergen irgendwo... schmerzmässig gehts in Ruhe und beim Gehen (nach wie vor Teilbelastung 20kg) ganz gut voran, die Übungen tun etwas mehr weh, die Narben sehen gut aus. Gestern gabs im PULS auf SF DRS übrigens eine nette Sendung zum Thema Knie-Arthrosen und Behandlungsmöglichkeiten. Wer bisher noch nicht begriffen hat, was das mit der Osteotomie genau soll, kann sich das als RealVideo anschauen: Hohe Qualität (ADSL, Kabel) / Geringe Qualität (Modem)

Donnerstag, 1. September

Nach der Physio musste ich mal meine guten alten Krücken etwas tieferlegen gehen. Ideal fürs Krückentuning ist das Orthoteam an der Effingerstrasse - es gab neue Zapfen, und die in der Klink Valens anno 2001 eigens angefertigten - und langsam etwas schmuddligen - Polster wurden durch wunderbar weiche Polster mit Klettverschluss ersetzt. Das war grad ein ganz neues Lebensgefühl. "Pimp my crutches" kann ich also allen an Krücken gehenden ans Herz legen (nein, keine Sorge, einen Fuchsschwanz hab ich nicht dran).




Samstag, 3. September

Die Berge wirken wieder mal Wunder: Die Verwandtschaft sorgt sich perfekt um mich in Sedrun, und Zugfahren erweist sich als ideal - da kann ich das Daheim. Berge. Sonne. Heuduft. Sedrun. (Klick für Vergrösserung...)Bein schön hochlagern und auch die Übungen ideal abgestützt machen (mehr über diese denkwürdige Zugfahrt im Blog). Die Narben sehen gut aus, das Knie ist als Ganzes noch recht geschwollen, die Schmerzen halten sich in Grenzen, ich nehme nun nur noch Neurontin. Bin also recht begeistert, auch wenn ich gerne eine Bergtour machen würde und stattdessen durchs Dorf krückle und allen Bekannten und Verwandten die selbe Geschichte erzählen muss :) Aber das Fravia-Sofa ist abends jeweils auch recht gediegen.

Donnerstag, 8. September

Wieder mal ein Spitaltag, diesmal gibts die zweimonatliche Portion Anti-Rheuma-Saft in der Insel. Die Narbe am Beckenkamm ist leicht entzündet, sollte aber kein Problem sein. Physio-Andrea meinte gestern, ich sollte das Bein etwas mehr hochlagern; rund um den Hoffa'schen Fettkörper bildet sich im Tagesverlauf immer eine rechte Schwellung. Schmerzmässig fühle ich leider wieder oft die üblichen Belastungsschmerzen unter der Patella: Oje...

Samstag, 10. September

In der Physio gesterm zum ersten Mal wieder auf dem Stehvelo Foto: Marc Engel - Klickmit den verstellbaren Pedalen gesessen - ein wunderbares Gefühl! Sogar ein wenig Leg Press lag wieder drin. Foto: Marc Engel - KlickSchön: Ich kann nun in Bauchlage das Bein wieder aus eigener Kraft 90° hochziehen, fast ohne Schmerzen im Osteotomiespalt. Der Spaziergang des Tages führte auf den Berner Hausberg - Cousin Marc aus der Innerschweiz bekam zur Feier eine Führung auf dem Gurten. Als Gegenleistung machte er wieder ein paar ganz schöne Bilder.

Montag, 19. September: Good News

Grauer Himmel, Bise, Kälte - doch die Röntgenkontrolle und Sprechstunde bei Prof. Stäubli verlief durchwegs positiv: Die Schrauben halten, die Stellung der Beine stimmt, die Gelenksachse stimmt. Nächste Kontrolle in drei Monaten - und in drei Wochen kann ich bereits die Krücken in die Ecke stellen. Das ist viel besser als erwartet.

Auch sonst ist fast alles in Butter: Schon seit zwei Wochen fühle ich, dass es möglich sein sollte, voll aufs operierte Bein zu stehen - erstaunlich für so einen komplexen Eingriff. Nun ists offiziell: Ab sofort kann ich daheim auch ohne Stöcke kurze Distanzen gehen. Medis nehme ich schon seit etwa zwei, drei Wochen keine mehr - auch das ist verglichen mit früheren Operationen erstaunlich. Strecken kann ich das Knie (zum ersten Mal seit dem Unfall im April 2001!) ganz, beugen bis etwa 110-120 Grad - in den letzten Wochen stieg dieser Wert fast täglich. Cool - alles durchwegs positiv also! Einzig ein kleiner Restschmerz im Osteotomiespalt ist noch vorhanden, dazu die üblichen kleinen Arthrose-Stiche im Knie. Bald gehts los mit deftiger Kräftigung, dann sollten die Muskeln auch schnell wieder zurück sein.

Die aktuellen Röntgenbilder (bitte klicken für grössere Fassungen):

Mal was Neues - Übersicht beide Beine inkl. Becken
   
 Dasselbe Bild wie oben, Ausschnitt Knie
   
 Vergleich 15. August 2005 und 19. September 2005 von vorne
   
 Vergleich 15. August 2005 und 19. September 2005 von der Seite

4. Oktober 2005

Langsam herrscht ein wenig der Krücken-Alltagskoller: Das Leben zieht langsam wieder die gewohnten Bahnen, man möchte die Stöcke am liebsten in die Ecke stellen. Doch dafür tuts doch noch zu fest weh, auch wenn ich daheim problemlos ohne Krücken gehe und auf die Treppe rauf komme. Gegen Treppe runter bzw. längere Distanzen wehrt sich aber das Knie noch mit Stichen und arthrose-artigen Schmerzen an verschiedenen Orten. Der Osteotomiespalt meldet sich sporadisch auch mal, aber diese dumpfen, schwachen Schmerzen sagen mir eher "das heilt" als "Achtung Gefahr". In den Bergen hats bis zu einem halben Meter geschneit - die Webcambilder sind recht hart zu ertragen...

8. Oktober 2005

Hier stand ich Mitte Dezember 2004 auch schon mal, allerdings mit Skistöcken, nicht mit Krücken. Ausser der Kunstschneepiste am Männlichen hatte es etwa gleich wenig Schnee. In rund 6 Wochen soll hier die Saison wieder losgehen - leider ohne mich. War ziemlich hart, heute im Schnee herumzustochern. Immerhin: Goldene Herbsttage im Oberland. Es riecht mal nach Winter, mal nach Bergkräutern. Trotzdem: Die Vorbestellformulare für die Saisonabos flattern ins Haus, in Zermatt herrschen schon wunderbare Pulverschnee-Verhältnisse - müessti nid ha. Mit Florian Eckert und Franco Cavegn haben sich in den letzten Wochen zwei weitere "Tibiaköpfler" aus dem Skirennsport verabschiedet - wäre interessant zu wissen, wie es ihnen im Alltag so läuft.

17. Oktober 2005

Sedrun, Val Strem - Klicken für grössere FassungDie ersten krückenlosen Tage waren zugleich goldene Herbsttage. Ich muss sagen: Das fühlt sich doch ganz flott an. Ganz ohne Stöcke wage ich mich noch nicht raus; gerade beim bergab Gehen tuts noch zu fest weh oder ich hinke recht unförmig. Aber heute in Sedrun habe ich ne kurze, leichte Velotour Richtung Valtgeva unternommen, das fühlte sich seeeeehr gut an! Geradeaus Gehen fühlt sich immer noch etwas schmerzhafter an als vor der Operation; ich hoffe, dass dies noch bessert, wenn alles gut verheilt ist. Der Osteotomiespalt macht kaum Probleme, ab und zu ein kleines Stechen. Etwas mühsam ist das (vermutliche) Schnalzen eines Bandes im Knie bei jedem Schritt; das fühlt sich komisch an.

3. November 2005

Sissacher Fluh, 30.10.2005 - Klicken für grössere FassungEin Wunderherbst wie seinerzeit 1985 - und mein Knie lässt schon wieder kleinere Wanderungen zu. OK, Wanderung ist etwas übertrieben: Vom Parkplatz auf dem Pass rauf zur Sissacher Fluh im Oberbaselbiet und wieder runter - das ging aber recht gut am letzten Weekend. 100m Höhendifferenz. Die Schmerzen sind nun etwa gleich wie vor der letzten Operation, teils noch etwas stärker; das Knie fühlt sich immer etwas "gespannt" an. Langsam kann ich mich aber dran machen, an Muskelaufbau zu denken - das wird helfen, das Knie zu stabilisieren. Besonders abwärts Gehen ist aber obermühsam. Trotzdem: Der Alltag stellt sich langsam ein. Einfach die Hoffnungen, dass es dereinst besser wird, nicht aufgeben... PS: Solche Websites hat man gern :) "these screws are made for walking" - herrlich...

9. November 2005

Nalps, 8.11.2005 - Klicken für grössere FassungDie letzten Tage vor dem definitiven Einschneien im November gehören zu den schönsten im Bergherbst: Die Täler sind touristenfrei, die Einheimischen entspannt - so habe ich nochmals vier Tage Sedrun genossen, bevor ich bald mal frustriert drin sitze oder so profane Dinge tue wie Schneewandern, während alle anderen auf der Piste umherflitzen. Milez, 7.11.2005 - Klicken für grössere Fassung- Mit dem Velo nach Milez fahren (etwa 400m Höhendifferenz) ging ganz gut, ein wenig im Val Nalps umherstapfen und die schon sehr schwache Sonne geniessen ebenfalls. Ich befürchte aber langsam, dass der böse alte Schmerz am inneren Tibiaplateau nicht verschwinden wird. Fühlt sich jedenfalls definitiv nicht so an derzeit. Und, ach ja, gearbeitet hab ich auch noch ein wenig: Ab sofort gibts auf dieser Seite keine ellenlange Liste mit Reaktionen mehr, sondern ein bequemes Diskussions- und Meinungsaustauschforum für Leute mit Knieproblemen, Rheuma oder Augenentzündungen!

29. November 2005

Letztes Weekend waren die Skilifte in vielen Gebieten das erste Mal offen, auch in Sedrun - Frust, Frust, Frust. Der schöne Schnee im Flachland macht Lust auf mehr. Das Knie fühlt sich aber ganz und gar nicht nach Skifahren an: Schnee in Bern, November 2005 - Klicken für grössere FassungWechselnde Schmerzen in allen Regionen des Gelenks, stärker als vor dem Eingriff, drücken auf die Moral. Mal ist es das mediale Tibiaplateau, mal der Bereich zwischen Tuberositas und Patella, mal die Bereiche unter der Patella, mal der laterale Bereich des Plateaus, mal alles zusammen - jedenfalls kann ich zwar im Alltag einigermassen bestehen, aber Gehen und Velofahren klappt nur mit Schmerzen. Auch nur wenig steile Strecken bergab gehen geht nur mit Gehinke. Die Physio geht soweit gut, aber auch nur dank dem Motto "es tut weh, jaja - kenn ich ja, was solls". Immerhin, die Muskelmasse nimmt etwas zu. Der übliche Knacks bei jedem Schritt ist immer noch da. Ich fliehe für ein paar Tage in die Provence und helfe meinem Grosspapa Oliven ernten, das bringt mich hoffentlich auf andere Gedanken.

4. Dezember 2005

Olivenernte 2005: Auch Patrick ist - wie schon vor 20 Jahren - mit von der Partei in der Provence (Klicken für Vergrösserung)Die Olivenernte vertreibt jeglichen Skifrust: Eine bisweilen anstrengende, aber äusserst beruhigende Tätigkeit - selbst wenn einen der Mistral schier vom Ast oder von der Leiter bläst. Bei gemütlichen 15 Grad auf den teils über 100jährigen Bäumen herumzuklettern und selbst vom entlegensten Wipfel die Früchte zu ernten, die am 7. Dezember zu köstlichem Öl gepresst werden, ist traumhaft - vor allem, wenn die Begleitung stimmt (die selbe wie schon vor 20 Jahren in den Sommerferien, nur etwas erweitert) - und wird wohl ab sofort jedes Jahr in den Kalender dick eingetragen. - Das Knie? Wie oben beschrieben. Nicht wirklich besser. Aber im Wind auf dem Baum zu balancieren, einen Fuss auf einem und den anderen Fuss auf einem anderen Ast, dazu Oliven pflücken, das ist fast die realere Koordinationsübung als auf dem Wackelbrett in der Physio. Training beim Pflücken: Perfekt.

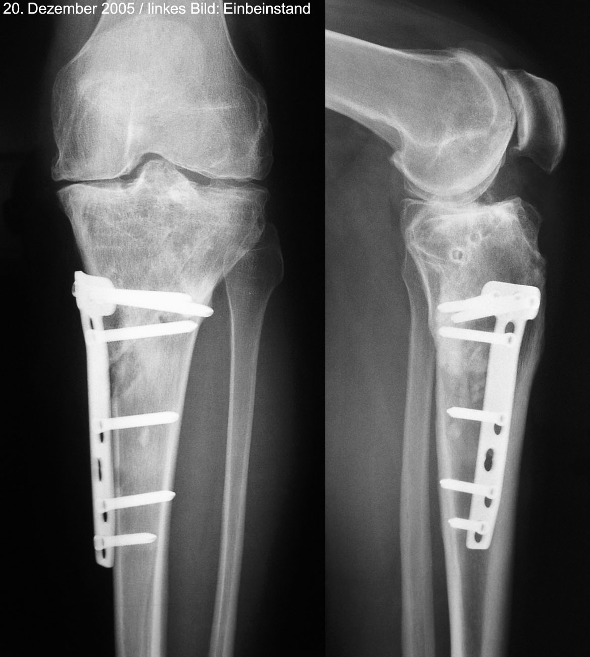
21. Dezember 2005

Paris, 17.12.2005 (Klicken für Vergrösserung)Lange Spaziergänge durch das weihnächtliche Paris erträgt mein Knie recht gut - mit den Schmerzen gehts in den letzten Tagen ganz sachte abwärts, immerhin. Auch velofahren geht wieder etwas besser. Aber bei besten Schneeverältnissen nicht auf der Piste zu sein mitten im Dezember - das bleibt schon gewöhnungsbedürftig. Auch die Röntgenkontrolle gestern im Salem brachte nicht viel Neues an den Tag: Mit dem Osteotomiespalt ist soweit alles OK, der ist schon fast kein Spalt mehr. Alles hält und heilt wie geplant. 20.12.2005: Das Öl ist da! (Klicken für Vergrösserung)Nur: Es wird weiterhin dringend vom Skifahren abgeraten. So werde ich die Weihnachtstage zum ersten Mal, seit ich denken kann, nicht skifahrend verbringen. Frust - besonders, weil heute Janica Kostelic mit ihrem lädierten Knie wieder mal einen Riesenslalom gewonnen hat. Ich versuche das ganze trotz allem Verdruss sportlich zu nehmen: Wieso nicht mal Schneeschuhwandern versuchen? Zudem hab ich endlich das in Seillans vor drei Wochen "gepflückte" Olivenöl in der Hand und kann damit während der Festtage feine Sachen kochen: Schmeckt vorzüglich - die Physiostunden auf dem Baum haben sich also gelohnt. Das aktuelle Röntgenbild ist hier abrufbar.

15. Januar 2006

Lauberhornrennen im Wengen ohne Ski - welch Schmach... ohne Saisonabo unterwegs sein, Zugtickets und Sesselbahn-Einzelfahrten Klicken für grössere Fassung - Lauberhornslalom 2006lösen müssen, Schnee in den Schuhen, Skifahrer, die am watschelnden Gedemütigten vorbeisausen: Das alles ist definitiv nix für einen Vollblutskifahrer. Aber ich habs überlebt. Ebenso wie zwei Wochen im Schnee über die Festtage ohne auf den Skis gestanden zu sein - dummerweise ists mit dem Knie nicht wirklich besser geworden, obschon ich brav war. Langsam hab ich das Gefühl, jetzt, da der Knochen Klicken für grössere Fassung - Winterspaziergang Kleine Scheidegglangsan wieder Konsolidiert ist, beginnt die Platte beginnt etwas zu drücken - jedenfalls spüre ich da und dort ein Zwicken am Schienbein, wo es keine Arthrose sein kann. Das Knacken bei jedem Schritt ist mühsam und besonders, wenns still ist im Raum, eklig. Aber hej: Ich gehe, lebe, funktioniere weitgehend normal. Doch dafür hab ich die Ops an sich nicht gemacht. Bin ich zu ungeduldig? Selbst wenn ich skifahren dürfte, ich würde es wohl angesichts des Gefühls im Knie nicht tun.

Ansonsten versuche ich, möglichst viel anderes zu machen: Arbeiten, Spaziergänge auf Winterwanderwegen, allerlei, was man sonst im Sommer halt auch macht. Nicht immer einfach, aber auch kein Weltuntergang - besonders, wenns ne Rahmschnitte am Eigergletscher gibt... (PDF-Fassung dieser kulinarischen Skipisten-Story hier, 250 KB)

30. Januar 2006

Langsam ist ein leichter Aufwärtstrend zu erkennen - zeitweise komme ich schon beinahe schmerzfrei Klicken für grössere Fassung - Niederhorn, 29.1.2006die Bahnhofsrampe runter, andererseits gibts auch Stunden mit stechenden Schmerzen bei jedem Schritt, selbst zu Hause, Klicken für grössere Fassung - Niesen, 29.1.2006und ich kann kaum gehen. Alles in allem würd ich aber sagen, es gehe tendenziell aufwärts, wenn auch in minimalen Schritten. Dieses Weekend gabs immerhin einen netten kleinen Spaziergang auf den schönen Winterwanderwegen am Niederhorn - all die Skifahrer, die da rumschwirrten, stimmten mich aber nicht nur positiv.

15. Februar 2006: Back to life, back to skiality

OK, jetzt kann ichs ja sagen: Ich war inzwischen nen halben Tag Skifahren! Die Sedruner Pisten haben mich wieder - es war natürlich ein sensationelles Gefühl. Als Wiedereröffnungsgefährt wählte ich den Völkl Racetiger SL 0.6, mit dem ich die letzte Saison abgeschlossen hatte (wieder in der erstaunlich famosen Länge 155cm - aber es ist und bleibt der einzige fahrbare Völkl, ein klassisches One Hit Wonder). - Es war traumhaft. Schlicht: Henne geil. Mein Klicken für grössere Fassung - Sedrun, 7. Februar 2006... Endlich wieder auf den Brettern, die die Welt bedeuten!Instinkt lag nicht ganz falsch; ich hatte deutlich das Gefühl, das gehe nun, und Prof. Stäubli und Dr. Kotsaris lachten heute in der Röntgenkontrolle, als ich ihnen das Geständnis machte - der Knochen sei tatsächlich schön durchgebaut, für ein halbes Jahr postoperativ sei das überdurchschnittlich und erfreulich. "Ja, Sie dürfen nun auch offiziell wieder Skifahren, aber seien sie doch noch ein wenig vorsichtig." - Ich gelobe es. Immerhin hat mir dieser Winter gezeigt: Es geht schon auch ohne, und ich kann ohne Gram sagen, dass ich nun kaum mehr über 50 Tage pro Winter Ski fahren werde.

Mit der Metallentfernung im Herbst sind gleich nochmals eine kleine Gelenkstoilette sowie diverse Knorpelwachstumsanregeversuche und eventuell eine Notchplastik geplant - nun gehts sozusagen daran, die Hauptschmerzpunkte "anzugreifen". Inzwischen nehme ich recht hoch dosiert die Vitamine C und E, das sei angeblich auch nicht schlecht; und siehe da, das Knie fühlt sich in den letzten 10 Tagen nun doch massiv besser an im Alltag, zeitweise gar besser als vor der letzten Operation. Möge es so bleiben.

22. Februar 2006: Der erste grosse Skitag

Nach dem "Stündelen" war heute der erste "grosse" Skitag angesagt - nun ja... immerhin von 11 bis 16.30 Uhr. Das Skigebiet Adelboden-Lenk zeiKlicken für grössere Fassung - Lenk, 22. Februar 2006gte sich von der besten Seite, und im Gegensatz zum Flachland schien gar die Sonne - kniemässig liefs gut, auch danach waren keine grossen Veränderungen festzustellen. Klar, die Innenseite des Kniegelenks schmerzt mehr, alles erscheint etwas gereizt, doch das wars. Freude! Sehr sogar!

26. März 2006: Wieder Alltag

Eigentlich ist inzwischen nichts mehr anders als vor einem Jahr - ich bin schon wieder etwa 10 Tage auf den Pisten rumgeflitzt, heute war ein herrlicher Sulzschneetag in Sedrun. Bald ist der Unfall 5 Jahre her, und auch wenn die Schmerzen spürbar sind, so bin ich derzeit doch recht frohen Mutes...

13. April 2006: Fünf Jahre ists her

Heute vor fünf Jahren ists passiert - und fast hätte ich es vergessen. Nach drei intensiven SKlicken für grössere Fassung - Madrid, Ostern 2006paziertagen quer durchs frühsommerliche Madrid (ohne nenneswerte Kniefolgen, im Gegenteil, bergab Gehen lief danach z.B. fast besser als vorher) freue ich mich auf den Saisonschluss in Sedrun mit neuen Skiern - ich hab mir nun doch tatsächlich zum ersten Mal im Leben einen Völkl-Ski gekauft... und erst noch einen nur 155cm langen, den gelben "Racetiger .06", einen schnittigen Slalomcarver mit einem Radius von zwölf Metern. Vor einem Jahr auf der Engstligenalp bin ich den zum ersten Mal gefahren. Jetzt müsste nur noch ein wenig Sonne her... - Übrigens: Im Forum werden regelmässig neue Geschichten veröffentlicht. Mitglied Fractured Slacker hat sogar eine CD zu unserem Lieblingsthema gemacht - "Tales from the Tibia Plateau" (Sounds anklicken).

19. April 2006: Aaaaah!

Sorry, kanns nicht anders sagen: Das ist einfach ein geiler Ski, dieser Racetiger. Und auch recht lustig war, dass ich am Ende des Skiliftes von einer wildfremden Klicken für grössere Fassung - Sedrun, Ostern 2006Frau angesprochen wurde - "sind Sie nicht der Andi mit der Beinbruchwebsite?" - Uli, seit 1968 mit ihrer Familie Dauergast in Sedrun, hat sich ebenfalls hier das Knie kaputtgemacht und steht kurz vor der Operation fürs künstliche Gelenk. Viel Glück und auf bald wieder in Milez! - Der Schnee ist dieser Tage bis etwa 13 Uhr wunderbar, man kann extrem "reinliegen" (vor allem im Val Val, wo "es" vor etwas mehr als fünf Jahren passierte, die Stelle ist im Foto abgebilder) - nachher kann man getrost in die Beiz sitzen.

Die Fortsetzung

Hier geht die Geschichte weiter - u.a. mit der Metallentfernung am 9. Mai 2007.

Werbung


Reaktionen von BesucherInnen dieser Seite

Seit April 2001 haben über 30 Betroffene hier ihre eigene Geschichte erzählt. Im November 2005 habe ich endlich ein Forum eingerichtet, wo Betroffene diskutieren können. Alle Einträge, die hier einmal standen, wurden ins Forum verschoben. Wer mit dem Forum nicht zurechtkommt, kann mir weiterhin E-Mails schreiben, um seine Geschichte loszuwerden.

Ich möchte selbst ein Mail schreiben!


Autsch Home

Zum Seitenanfang

Werbung


webpublishing | kurse+texte | fotos+webcam | sounds
blog | yakome'tt | projekte | kontakt | datenschutz & impressum

last update 20.05.2018 14:18 © jacomet.ch 1999-2005


 

Stat