Home
Home

 

Weitere Teile dieser Story

» Start: Unfall und Operation in Chur

» Reha in der Klinik Valens

» Back Home

» Raus mit den Schrauben und zurück auf die Skis


» Diagnose im Januar 02: Dritte Operation nötig

» April 2002: Nieder mit der Eminenz

» November 2002: Die Gelenkputzete

» Sommer 2005: Eine Korrektur mehr

» Mai 2007: Das Metall kommt raus

» 2020: Die Prothese

 

 

Echo und Feedback

Falls jemand seine eigene Story mit Beinbruch und Genesung (nach Wunsch auch anonym) veröffentlichen will, nur zu - es sollen möglichst viele Leute von solchen Berichten profitieren können. In diesem Forum sind die Reaktionen zu lesen.

 
 

Wichtiger Hinweis

Ich bin nicht Arzt, sondern Patient. Da jeder Unfall, jede Krankheit anders ist und die Heilung und Behandlung individuell verlaufen, sind diese Seiten keinesfalls als Beratung oder der Weisheit letzter Schluss zu verstehen. Ich warne auch davor, Teile auszudrucken, damit zum Arzt zu rennen und zu sagen "aber hier liefs doch so und so, machen sie das bitte auch" - bitte auf gar keinen Fall! Diese Seiten sollen allenfalls Denkanstösse und grobe Vergleiche liefern, ersetzen aber keinesfalls das fundierte Urteil von Fachpersonen, die eure Geschichte und Allgemeinzustand kennen. Darum beantworte ich auch allfällige Anfragemails nur äusserst zurückhaltend. Erste Ansprechperson ist eurer Arzt bzw. eure Ärztin. Auf diesen Seiten wird allein meine persönliche Meinung dargestellt. Meine Ärzte haben Kenntnis von dieser Seite, der Inhalt ist aber nicht mit ihnen abgesprochen oder von ihnen gutgeheissen.

 
 

Weitere Berichte rund um Gebrechen

Morbus Bechterew kann ganz schön mühsam sein - besonders wenn noch ab und zu eine Iritis dazu kommt.

 




Werbung

» Zu den Reaktionen Betroffener

14. November 2002: Was ist los mit diesem Gelenk?

Nachdem die Streckung des Beins nach der Osteotomie von Ende April zwar massiv besser geworden war, aber die Schmerzen nicht weggingen bzw. sich teils sogar wieder verstärkten, entschied sich Prof. Leutenegger kurzfristig, nochmals in das Gelenk zu schauen. Vernarbungen, die ein Grund für die Schmerzen sein könnten, werden arthroskopisch entfernt - und die Kamera erlaubt gleichzeitig weitere Einblicke ins Gelenk: Wo hats Unregelmässigkeiten? Könnte es der Meniskus sein?

Hoffentlich, denn immerhin gewann doch Pirmin anno 1985 eine Woche nach einer Meniskus-Operation WM-Gold... Gelenktoilette nennt sich das ganze, das tönt zwar nicht so nett, aber heisst wohl so, da das Gelenk auch noch tüchtig durchgespült wird. Mit genügend WC-Enten-Zusatz sollte also nachher eigentlich alles wieder OK sein. Spülen allein genügt aber in der Regel nicht, daher wird auch noch ein wenig gebastelt und geschraubt; das Metall vom April kommt auch wieder raus, denn das könnte ebenfalls Schmerzen verursachen.

Je nach Heftigkeit des Eingriffs (Faustregel: Je Bohr, desto Blut - sprich: Viel Chirurgenarbeit, längerer Spitalaufenthalt) heisst das zwischen 3 und 6 Tagen Spital - und danach wie üblich Physio bis zum Gehtnichtmehr.

Das Endziel ist klar: Zu Weihnachten wieder auf der Piste stehen! Am 14. November zwischen 11 und 12 Uhr wird das Knie in der Spitalküche gespült - am 15. November wissen wir mehr.

Chur by night, aussen und innen. Schon wieder zeigt sich einer der wenigen Mängel am Neubau des Kantonsspitals: Bei Föhnsturm zieht es dermassen durch alle Löcher, dass man sich in einem Geisterschloss wähnt.



Nach der Operation

Positiv: Die Schrauben sind erfolgreich entfernt worden. Die Einblicke ins Gelenk zeigten dabei keine Auffälligkeiten. Arthroskopisch in weitere Teile des Gelenkes zu sehen war jedoch nicht möglich - also hat man von vorne (durch die alte Narbe, Ligamentum Patellae wurde geöffnet) nochmals einen grösseren Schnitt gemacht und immerhin einiges an altem Narbengewebe entfernen können, das wahrschenlich für die Schmerzen verantwortlich war. Hoffnung besteht.


Am 30.4. rein - am 14.11. wieder raus

Lustig wie immer: Das Erinnerungsvermögen an den Nachmittag nach der Vollnarkose war sozusagen null - angeblich soll ich mit zwei Leuten telefoniert haben. Ich hab davon keine Ahnung mehr. Und das erste E-Mail, das in der Outbox koserviert wurde, zeugt von gewissen Koordinationsproblemen: "idhc dachze das sei was halbwegs gutes? sotry jab noch mühe mitmtippen.komisches gefüjl." Tatsächlich: Offenbar gilt die Gleichung 1 Vollnarkose = 10 Mojitos.

Der Operationsbericht ist hier einsehbar.

Donnerstagabend

Mit einiger Hilfe (momentan noch an 2 Schläuche angeschlossen) konnte ich schon 3x aufstehen, das Bein ist schon knapp belastbar, wenn auch noch wacklig, die Schmerzen halten sich diesmal in engen Grenzen

Freitag

Aufstehen mit Krücken geht schon recht gut, und die Schläuche sind auch alle weg - die Wunden sehen gut aus.

Wer nun auch noch ein wenig Blut sehen will, kann hier klicken.

Die Prognose lautet momentan: Am Montag gehts frühestens heim, und dann wieder das alte Spielchen von viel Physio und Abwarten und Tee Trinken und Hoffen - auf die Piste gehts frühestens nach Weihnachten, und obs je wieder schmerzfrei geht, das weiss man dann... irgendwann. Henusode.

Back Home

Tatsächlich: Am Montag gehts heim - das Gehen ist von Tag zu Tag problemloser, der Eingriff ist also weitgehend problemlos verlaufen. Nur: Die Schmerzen im Gelenk fühlen sich gleich an wie vorher... und der Abschied vom Spital Chur fällt dank dem genialen Team der Abteilung D2 wie immer nicht nur leicht. Thanks!


Renitente Narbe und Bad News

Die Woche nach der Operation verlief eher ungewohnt: Die linke Narbe wollte ab Dienstagnachmittag partout weiterbluten, was zu einem Sitzungsunterbuch wegen plötzlich blutiger Hosen führte... vorerst musste ich mich also recht still halten. Tonnenweise Gazen und Eisauflegen halfen nichts - erst Homöopathie stillte am Donnerstag die Blutung (klares, helles Blut).

Ernüchternd: Die Schmerzen rund um die Patella und im Gelenk sind exakt die selben wie vor dem erneuten Eingriff. Es genau jene Schmerzen, die nicht den Anschein machen, alsob sie schnell verschwinden würden. Na toll.

Die Schwellung geht nicht zurück

Am 4.12. musste ich mir im Inselspital notfallmässig Flüssigkeit aus dem Gelenk ziehen lassen - nicht gerade angenehm, wenn mit Spritzen im Gelenk rumgestochert wird. Die Schwellung geht einfach nicht zurück, es bleibt nun die Analyse abzuwarten. Blutwerte und Röntgenbilder sind OK - aber die Schmerzen äusserst unangenehm. Treppensteigen und Abwärtslaufen geht nur ganz schlecht.

Das Gelenk erholt sich - Skifluch über der Familie?

Das Wochenende vom 8. Dezember brachte eine gewisse Entspannung; die Entlastung und Kühlung scheint gewirkt zu haben. Einige Stunden über dem Nebel im Berner Oberland rückten die Lust aufs Skifahren wieder ins Zentrum der Gedanken. Die Laborergebnisse zeigten förderten keinen Infekt zu Tage. Derweil sind auf die Piste in Sedrun Hans und Daniel zusammengestossen - keine 500m vom Ort weg, wo ich im April 2001 das Knie demoliert habe. Hans hat den Arm gebrochen (und wurde noch am selben Abend in Ilanz operiert), Daniel einen Knochen im Fussgelenk (gegipst). Der Toughness der Familie entsprechend fuhren aber beide noch bis zur Talstation munter weiter :-) Trotzdem fragen wir uns langsam: Liegt ein Skifluch über dem Val Val oder unserer Familie?


19. Dezember 2002: Kontrolle in Chur und License to Ski

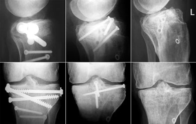
Der Röntgencheck in Chur brachte eine besorgniserregende Erkenntnis: Die Schmerzen am unteren Patellarand könnten von einer bereits beginnenden Arthrose herrühren (siehe weiter unten). Ansonsten hab ich wieder eine Lizenz zum Skifahren - und die Gewissheit, dass ich keine grössere Schwellung mehr im Knie habe. Und immerhin bin ich vom Metall befreit... ausser dem "Heiligenschein" rechts unten, einer eingewachsenen Unterlagsscheibe, die immerhin dereinst Angestellte eines Bestattungsunternehmens beschäftigen wird: "Wie finden wir das kleine Ding, das in dieser Urne so klimpert?" - Die folgende Bilderserie zeigt der Verlauf von den Schrauben der ersten OP über diejenigen der Korrekturosteotomie vom April 2002 bis zum Dezember 2002.

Sie können auf die einzelnen Bildfragmente klicken, um eine grössere Fassung des Ausschnittes zu sehen.

Hier klicken für grössere Fassung dieses BildteilsHier klicken für grössere Fassung dieses BildteilsHier klicken für grössere Fassung dieses BildteilsHier klicken für grössere Fassung dieses BildteilsHier klicken für grössere Fassung dieses BildteilsHier klicken für grössere Fassung dieses Bildteils

Sorgen macht die Kniescheibe: Auf der folgenden Bilderserie von Mai 2001 bis Dezember 2002 (aufs Bild klicken für Originalgrösse!) ist deutlich sichtbar, wie sich am linken unteren Patellarand ein kleiner Höcker gegen das Wadenbein hin bildet. Dieser Auswuchs (Osteophyt) könnte der Grund für den noch vorhandenen Hauptschmerz sein; er könnte auch vom Bechterew herrühren oder durch diese Krankheit zumindest verstärkt worden sein.

Ebenfalls gut zu sehen ist jedoch die schöne Heilung der ursprünglichen Bruchstelle (links unten im Bild) - einen Monat nach der Operation (links) klafft noch eine deutliche Lücke, die im Lauf der Zeit von neuer Knochenstruktur überwachsen wird.

21. Dezember: Der erste Skitag des Winters

Nach dem Check in Chur gings weiter nach Sedrun. Nun denn: Skifahren ist nicht wirklich ein Vergnügen, abgesehen von der frischen Luft und den Bergen. Bei fast jedem Schwung ein Stechen im Knie - aber immerhin, am 21. Dezember 2002 back on the skis again, nicht schlecht. Zumindest halbwegs ein gutes Gefühl: Es geht!

Zufall: Genau an der Stelle, wo "es" im April 2001 passiert ist, passierte mich gerade Patrouilleur Gabi, der mich damals abtransportiert hat, mit dem Zitat "do muesch aber ufpasse"...

23. Dezember: Skitag zwei, schon besser

Langsam gehts schon fast wie früher, jedenfalls siehts so aus. Bei guter Sicht wie heute kann ich "voll" fahren, zumindest 2-3 Stunden lang - auch dank den verschwundenen Bechterewschmerzen. Frisch gewachste Skis zeigen aber deutlich, dass auf dem linken Ski (operiertes Bein) der Wachs viel länger drauf ist als beim rechten. Zudem ist der Patellaschmerz weiterhin sehr mühsam, gerade in Rechtsschwüngen.

In diesem Röntgenbild (für einmal von der anderen Seite aufgenommen) von Anfang Dezember 2002 (Inselspital Bern, anlässlich der Punktion - aufs Bild klicken für grössere Fassung) sieht man wiederum schön den mutmasslichen Osteophyten an der Patella, den ich immer mehr für die Schmerzen verantwortlich mache, die nunmehr seit einem halben Jahr andauern.

Hier ist eine Ausschnittsvergrösserung der unteren Patellareagion zu sehen (im Bild oben eingerahmt).

14. Januar 2003: 8 Skitage geschafft

Heute kehrt Hermann Maier in den Weltcup zurück, nachdem er vor anderthalb Jahren bei einem Unfall fast ein Bein verloren hätte - angeblich schmerzfrei. Mein Wehwehchen war natürlich um einiges weniger schlimm, und deshalb fuchst es mich ein wenig, dass ich noch immer Schmerzen habe (OK, Herminator ist etwas durchtrainierter als ich...). Seit Weihnachten habe ich aber immerhin 8 Skitage à 2-3 Stunden hinter mir - und es geht nach wie vor recht gut. Eine kleine Genutrain-Schiene hilft etwas stützen, auch im Kopf. Die Patella wird so ein wenig geschont. Interessant: Je nach Ski habe ich mehr oder weniger Schmerzen. Mit meinem Unfall-Ski (Salomon Scream 10 Pilot, 180cm) und einem Völkl Slalom Carver P50 (170cm) waren die Schmerzen in Rechtsschwüngen recht gross, mit meinem zweiten Ski (Salomon Slalom Carver Equipe 10 3V, 176cm) mittel. Überraschend war der Fischer Slalom Carver (170cm), den ich einen Tag lang versucht habe: Das Kurvenverhalten beim Hispeed-Carving ist sensationell, die Schmerzen minim. Muss ich den Ski wechseln..? Andererseits habe ich gute und weniger gute Tage. Nach wie vor kann ich nur schlecht bergab gehen - Skifahren geht beinahe besser.

28. Januar 2003: Konsolidierung

Hermann Maier gewann heute den Super-G in Kitzbühel, Wahnsinn! Macht Mut. Am 25. Januar bin ich erstmals von morgens um 10 bis abends um 4 Ski gefahren - das Knie meldete gegen 14 Uhr recht deutlich, dass es nun an sich genug sei, aber die folgenden Tage wurde der Schmerz nicht schlimmer. Immerhin.

         

2. Februar 2003: Beinahe-Crash

Irgend so ein 15jähriger Snöber-Depp hat mich auf einem Waldweg um ein Haar gerammt - kam einfach von links aus dem Wald geschossen, konnte nur noch nach rechts ausweichen... ebenfalls in den Wald. Wenns nicht einen Meter Neuschnee gehabt hätte, wär ich wohl im Baum gelandet. Wieso nehmen sie so Typen das Billett nicht weg? Das Knie wurde arg geflext und tut seither ein wenig mehr weh. Nebst dem Patella-Schmerz tauchten die letzte Woche einerseits neue Schmerzen auf, die sich wie Gefühlsstörungen anfühlen - und andererseits Schmerzen in der Gegend des Gelenkspalts, die ich nur in ganz bestimmten Positionen habe - wenn das Bein z.B. leicht angewinkelt nach links weghängt. Nur wenige Millimeter machen das Stechen unaushaltbar oder aber es verschwindet ganz. Seltsam.

24. Februar 2003: 24 Tage

Umwerfend, dieser Winter. Wohl wetter- und schneemässig einer der schöneren, die man im Leben so mitbekommt. Seit drei Wochen schier wolkenloser Himmel, der Schnee liegt meterhoch, selbst das Flachland ist weiss. Skitage Nummer 20 bis 24 standen dieser Tage an. Heute in Sedrun fuhr ich mehrmals an der Beinbruchstelle vorbei und machte in Gedanken den Mittelfinger. Und nun ist mir auch klar: Ich muss so eine Art transgenes Wesen sein, das in irgend einem Frankensteinlabor zum ausschliesslichen Zwecke kreiert wurde, Ski zu fahren... eine Art Mountainstein sozusagen. Falls in der Zeitung also von einem juchzenden, schnellen Ding die Rede sein sollte, das strahlend im Bündner Oberland auf den Pisten umherwirbelwindend gesichtet wurde - well, that's me. Das Knie? Ach ja, das Knie... hatte ich da nicht mal was? Ok, das nächste Mal wieder seriös. Mit Schmerzbericht und so. Momentan gehts mir einfach nur gut.

3. April 2003: Endkontrolle

37 Tage Skifahren, da kann man nichts sagen. Am Sonntag bin ich zum ersten Mal seit dem Beinbruch wieder so richtig gestürzt, mit blauen Flecken. Bernhard Russi hätte kommentiert: "En klassische Inneschii-Fähler..." - Natürlich hats ausgerechnet das gesunde Knie etwas mitgenommen - naja, halb so schlimm.

Am letzten Donnerstag habe ich endgültig Abschied genommen vom Spital Chur (Schlussbericht zum Knie hier abrufbar) - knapp zwei Jahre nach dem Unfall. Das Knie tut nach wie vor weh, und es ist bereits eine Arthrose diagnostiziert; die Geschichte wird mich also wohl ein Leben lang beschäftigen, soviel steht schon mal fest. Wie es genau aussehen wird - on verra. Etwas weniger Schmerzen beim Gehen wären ganz schön.

13. April 2003: Zwei Jahre danach

23 Uhr... Jetzt vor genau zwei Jahren lag ich konsterniert im Kantonsspital Chur, Tibiakopf frisch gebrochen, zum ersten Mal in einer Klinik, verwirrt und der Dinge harrend, die da kommen sollten. Nun, wenn ich das gewusst hätte: Skitag Nummer 39 diesen Winter am Gemsstock, meterweise herrlichster Pulverschnee, Sicht von Italien bis zum Schwarzwald, wolkenloser Himmel. Genial, schlicht genial. So eine Saison dürfte nie vorbei gehen. Und: Habe ich im letzten Abschnitt nicht Bernhard Russi zitiert? Der war heute mein Schutzengel - nicht nur sauste ich über nach ihm benannte Pisten, nein, der war persönlich am Gemsstock unterwegs - mit Dölf Ogi im Schlepptau (allerdings morgens um zehn schon in der Beiz). Anyway: Das Knie ist alles andere als perfekt, schmerzte heute mehr als auch schon, aber an solchen Tagen...

18. April 2003: Schon wieder zwei Jahre danach

Eigentlich war's ja der Karfreitag, der 13. April 2001, als es passierte - also legte ich mit einem der Begleiter von damals an einem wolkenlosen Karfreitag, dem 18. April 2003 einige Gedenkschwünge in der Gegend ein, wo es passierte... und das erst noch auf brandneuen Salomon 10 3V 168cm (mit einer dreifach erhöhten Fritschi Rave) und Salomon XWave-Schuhen, die ich mir zum Jubiläum geleistet habe. Eine Wonne! Und ich sags nochmals: So eine Saison dürfte nie zu Ende gehen.

Klicken für Vergrösserung

Fotos: Lucas Jacomet

9. Juni 2003: Neuer Schmerzpunkt

Immerhin: Zwei "alte" Schmerzpunkte haben deutlich nachgelassen, weh zu tun - besonders der Schmerz an der vorne an der Patellasehne ist geringer geworden. Aber das Gehen ist noch immer mühsam, und ich muss bei jedem Schritt einem neuen Schmerz ausweichen, der sich leider gar nicht nach einem postoperativen Schmerz anfühlt, sondern um einen klassichen Arthroseschmerz. Nun - das stand ja im Abschlussbericht, OK. Angenehm ists aber dennoch nicht. Ich werde mich wohl bald wieder an einen Kniespezialisten wenden müssen. Heute in den Bergen konnte ich stellenweise kaum aufs Knie stehen. Aber auch das ist typisch für die letzten Wochen: Die Art und Intensität der Schmerzen wechselt ständig - und es ist kaum feststellbar, wovon das abhängt. Mühsam. Aber den Sommer verdirbt es mir nicht.

9. August 2003: Arthrose schmerzt

Langsam nervt der Arthroseschmerz rechts neben der Patella. Das Knie wirkt geschwollen, besonders nach kurzen Wanderungen, beim Gehen setzt es Stiche ab, die brennend bis weit ins Schienbein nach unten strahlen - ähnlich einer Gefühlsstörung. Ob wohl die bei den Operationen lädierten Nerven wieder erwachen? - Egal: Momentan ists noch halbwegs auszuhalten, aber es ist unangenehm. Ich werde wohl bald wieder auf dem Schragen eines Kniespezialisten liegen.

29. September 2003: Besser als auch schon

Seit einem Jahr war ich nicht mehr so weit wandern die dieses Weekend: Emmentaler Hügel erklimmen klappte ganz gut. Zumindest aufwärts - abwärts ists so eine Sache. 400m Höhendifferenz in einer Stunde liegen drin. Einen Tag danach sind die Arthroseschmerzen in beiden Knie deutlich, aber nicht übermässig spürbar. Tut gut, macht Mut! Ein Besuch bei einem Berner Spezialisten machte ebenfalls zuversichtlich: Mit einer weiteren Osteotomie (grob gesagt: Schienbein aufsägen, winkelverändert wieder zusammenschrauben, 6 Monate bis zur kompletten Heilung) könnte man das nicht ganz kongruente Gelenk wieder flottmachen und ein wenig den Druck rausnehmen. Zudem könnte man die Patella ein wenig verschieben. Der ganze Bericht ist hier im Original abrufbar. Aber: Hab ich wirklich Lust auf eine weitere Schnäflerei? Weiss nicht so recht. Setzen lassen, abwarten. Und in genau 7 Wochen Skifahren gehen! Dann ist Saisonbeginn in Zermatt.

9. November 2003: Besser als auch schon

Als Vorbereitung auf die Skisaison (noch 2 Wochen! - einige sind heute auf die Skis gestiegen, seufz) hab ich mir einige Physio-Stunden verordnen lassen. Back at "Physiotherapie Monbijou" bei Harald und Philippe - die neue Step-Maschine ist eine Wohltat! Fast ohne Schmerzen kann ich mich verausgaben wie schon lange nicht mehr. Hätte nie gedacht, dass das so Spass machen kann. So kann ich meine Muskeln ein wenig wintertauglich machen. Ansonsten gehts dem Knie durchschnittlich bis gut - dass es bei jedem Schritt schmerzt, ist langsam Gewohnheit. Teils sind die Schmerzen aber im (an sich) gesunden Knie stärker als Links. Das arme Gelenk rechts muss seit dem 13.4.2001 eine tüchtige Ladung Mehrbelastung aushalten - langsam beginne ich das zu spüren. Seit sechs Wochen "schnalzt" irgendwas an der an der lateralen Patellaseite bei jedem Schritt, manchmal mit einem kleinen Stich - was das wohl sein mag? Naja, Hauptsache Skifahren geht...

28. November 2003: Skisaison eröffnet

Zum ersten Mal seit 2000 kann ich wieder mal einen operationsfreien und folglich umso skiigeren November geniessen: Das Wetter beim traditionellen Zermatter Skitest könnte besser sein, aber die beiden bisherigen Tage auf dem Gletscher waren herrlich. Das operierte Knie hält sich wacker, ich kann voll fahren - das "gesunde" Knie schmerzt beinahe mehr, und nach dem Skifahren hab ich einen dumpfen Dauerschmerz im operierten Gelenk. Alles in allem etwa dasselbe wie Ende letzte Saison. Empfehlenswert sind heuer die Slalomcarver von Fischer, Elan - und wie immer Salomon.

27. Januar 2004: Schon 15 Skitage

Wenn das Wetter endlich mal wirklich länger als nur 2 Tage schön wäre... Nach einem harzigen Beginn sind die Schneeverhältnisse nun absolut traumhaft, beinahe bis ins Flachland, sogar Nachtski-Erinnerungen an die 80er im Baselbiet werden da wach. Nächstes Weekend solls endlich mal wirklich hochdruckig sein über Mitteleuropa. Skifahren läuft gut - allzu viel Euphorie kommt aber angesichts der bleibenden Schmerzen im Alltag nicht auf, mit etwas Voltaren lässt sich das Knie einigermassen im Schuss halten. Wenns ganz still ist und ich das Knie bewege, muss ich mir fast die Ohren zu halten, so eklig sind die Knack- und Knarrgeräusche im linken Knie. Zudem scheint auch das an sich gesunde rechte Knie langsam Schlapp zu machen, das schon erwähnte "Schnalzen" ist zu einem Dauerzustand geworden. Ich versuche, die Oberschenkelmuskulatur mittels regelmässigem "Stehvelo"-Training weiter aufzubauen. Trotzdem: Ein Tag in den tiefverschneiten Bergen, und die Gedanken sind wieder ganz woanders.

4. April 2004: Saisonende naht

Herrlich, der neue Salomon Streetrace 10 - heute testete ich in Wengen einen der offensichtlich tollen nächstjährigen Carver. Es war der 36. Skitag - 46 wie letztes Jahr wirds wohl kaum geben, aber das Knie hat auch diesen Winter gut mitgemacht. Nach einem Skitag (oder auch einem zweistündigen Spaziergang) spüre ich deutliche stechende Schmerzen auf der Innenseite (medial) des operierten Knies sowie auf der Aussenseite (lateral) der rechten Knies. Immerhin: Signifikant schlimmer als auch schon ist das nicht, bloss gleich mühsam. Doch wer mag bei diesen Verhältnissen auf einen Tag im Schnee verzichten?

13. April 2004: Sonne bitte

Heute vor drei Jahren ists passiert - und ich konnte nicht mal an der Stelle sein und ein paar Gedanken im Sinne von "was mich nicht umbringt, macht mich stark" oder sowas machen: Zu mies ist das Wetter über diese Ostertage. Gerade mal anderthalb Tage auf der Piste bisher. Und die Saison geht nur noch 5 Tage. Frust!

1. August 2004: Wechselnde Schmerzen

Mal kaum Schmerzen, mal gar pulsierende Ruheschmerzen - das Knie beschäftigte und beschäftigt mich im Frühling und Sommer weiter, auch wenn Velofahren und Crosstrainer in der Physio unproblematisch sind. Mühsam ist, dass fast immer, wenn ich mich bewege, irgendwelche Schmerzen spürbar sind. Nach über drei Jahren hat sich zwar ein Gewöhnungseffekt eingestellt, und ich bin ja kein Spitzensportler. Trotzdem: So hatte ich mir das irgendwie nicht vorgestellt...

23. August 2004: Ab in die Berge

So, jetzt bin ich mal aufs Ganze gegangen... das Knie fühlte sich in diesen Tagen wieder besser an, und so habe ich eine "rechte" Wanderung gewagt. Steiler Aufstieg von 1900m auf 2200m, und von da aus als pièce de résistance auf kurzer Distanz runter auf 1400m (Cungieri-Piz las Palas-Bostg-Val Dadens-Sedrun). Und siehe da: Bis auf die letzte halbe Stunde, wo ich mich tüchtig durchbeissen musste (das an sich gesunde Knie schmerzte recht stark, das operierte hielt sich wacker), lief das richtig gut. Teils konnte ich sogar regelrecht abwärts rennen und auf die Wanderstöcke verzichten. Und tagsdarauf grad noch eine Velotour Sedrun (1400m)-Milez (1900m)-Tschamut-Sedrun... da war dann eher die Fitness das Probem, weniger die Knie. Fazit: Viel Freude in meinen liebsten Bergen... tut unheimlich gut zu wissen, dass so etwas noch möglich ist. Deutlich mehr Schmerzen beim am stärksten von der Arthrose betroffenen Gelenkteil am Abend und tagsdarauf - aber ich hoffe, das legt sich wieder.

21. Oktober 2004: Diverse Wanderungen

Schynige Platte - Faulhorn lief wunderbar - bis auf den Abstieg zur First, der war Horror fürs Knie. Dann: Vier Tage quer durch New York und drei Tage durch Boston spaziert - das Knie macht mit. Alles in allem hat sich die Lage aber eher leicht verschlechtert, viele Schmerzen sind chronisch geworden. Aber immerhin: Solange ich in den Bergen rumhopsen und Städte zu Fuss entdecken kann, beschwer ich mich nicht zu sehr.

23. November 2004: Skisaisonstart

Heuer klappte es mit dem Wetter: Zermatt präsentierte sich vier Tage lang von der Schokoladenseite. Auch das Knie machte mit, ausser dass es nach 4x6 Stunden harten Skitests doch erheblich surrte. Pasta und Dolci im italienischen Teil des Skigebietes wirkten aber äusserst schmerzstillend.

9. Januar 2005: Prachtsverhältnisse in den Bergen

Gut, es könnte mehr Schnee haben - und trotzdem: Wenn das Wetter stimmt und - leider - die Schneekanonen etwas mithelfen, bringt mans gut und gerne auf bisher 22 Saison-Skitage - wohl rekordverdächtig. Allein zwischen dem 18. Dezember und heute war ich an 14 Tagen auf den Brettern, im Berner Oberland bei mehr als dürftigen, in Sedrun hingegen bei guten Pistenverhältnissen. Auch wenn die Unterlage dünn ist (und von fiesen Kunstschnee-Eisflächen durchsetzt) und deutlich mehr "schüttelt" als wenn die Schneelage normal wäre: Das Knie hält sich wacker, Entzündungshemmer tun wohl einiges dafür, aber ausser den langsam normal gewordenen Schmerzen kommt nichts dazu. Das Hauptproblem ist eher, geistig wieder in den Flachland-Alltag mit sporadischen Skitagen zurückzufinden.

Die Fortsetzung: Operation Nr. 5 im August 2005

Reaktionen Betroffener / Forum

Autsch Home

Zum Seitenanfang


webpublishing | kurse+texte | fotos+webcam | sounds
blog | yakome'tt | projekte | kontakt

last update 06.05.2007 14:18 © jacomet.ch 1999-2005


   

Werbung

 

 

Stat