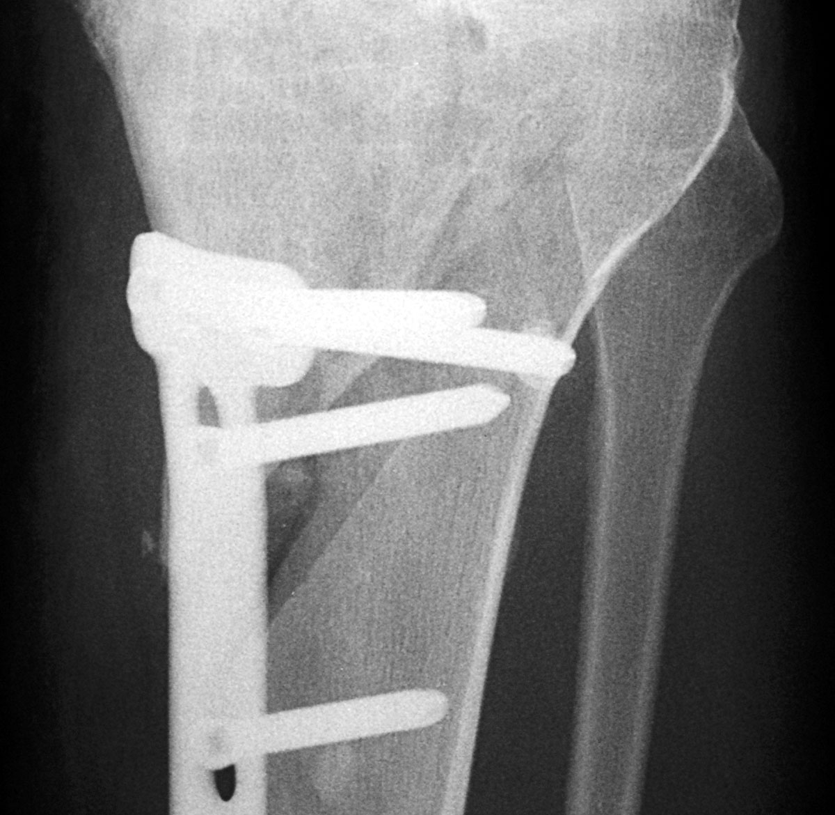
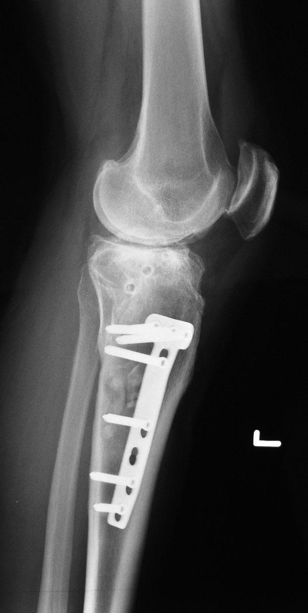
Röntgenbilder Salemspital Bern, 12. August 2005