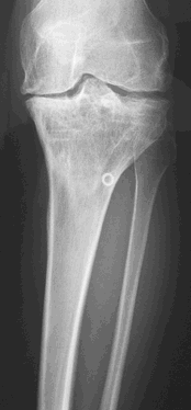
Hier ist schön sichtbar, wie die Gelenksachse korrigiert wurde