Home
Home

 

Weitere Teile dieser Story

» Start: Unfall und Operation in Chur

» Reha in der Klinik Valens

» Back Home

» Raus mit den Schrauben und zurück auf die Skis


» Diagnose im Januar 02: Dritte Operation nötig

» April 2002: Nieder mit der Eminenz

» November 2002: Die Gelenkputzete

» Sommer 2005: Eine Korrektur mehr

» Mai 2007: Das Metall kommt raus

» 2020: Die Prothese

 
 

Echo und Feedback

Falls jemand seine eigene Story mit Beinbruch und Genesung (nach Wunsch auch anonym) veröffentlichen will, nur zu - es sollen möglichst viele Leute von solchen Berichten profitieren können. In diesem Forum sind die Reaktionen zu lesen.

 
 

Wichtiger Hinweis

Ich bin nicht Arzt, sondern Patient. Da jeder Unfall, jede Krankheit anders ist und die Heilung und Behandlung individuell verlaufen, sind diese Seiten keinesfalls als Beratung oder der Weisheit letzter Schluss zu verstehen. Ich warne auch davor, Teile auszudrucken, damit zum Arzt zu rennen und zu sagen "aber hier liefs doch so und so, machen sie das bitte auch" - bitte auf gar keinen Fall! Diese Seiten sollen allenfalls Denkanstösse und grobe Vergleiche liefern, ersetzen aber keinesfalls das fundierte Urteil von Fachpersonen, die eure Geschichte und Allgemeinzustand kennen. Darum beantworte ich auch allfällige Anfragemails nur äusserst zurückhaltend. Erste Ansprechperson ist eurer Arzt bzw. eure Ärztin. Auf diesen Seiten wird allein meine persönliche Meinung dargestellt. Meine Ärzte haben Kenntnis von dieser Seite, der Inhalt ist aber nicht mit ihnen abgesprochen oder von ihnen gutgeheissen.

 
 

Weitere Berichte rund um Gebrechen

Morbus Bechterew kann ganz schön mühsam sein - besonders wenn noch ab und zu eine Iritis dazu kommt.

 

Werbung

» Zum aktuellen Stand
» Zu den Reaktionen Betroffener

4. November 2006: Sommer und Herbst

Soweit immer noch alles OK - naja, jedenfalls auszuhalten. Ich freue mich auf die Skisaison, auch wenn das Knie seit etwa 4 Wochen vermehrt schmerzt und ich die Platte nun besser spüre. Das mediale Tibiaplateau ist wohl wirklich im Eimer. Immerhin konnte ich in Colorado, im Jura und in Sedrun ein wenig wandern - sobald es bergab geht, bin ich aber recht aufgeschmissen...

31. Dezember 2006: Keine knee friendly slopes

Bei diesen Pisten bleibt man als Tibiaköpfler am besten zu Hause... siehe z.B. im Blog und auf skiliftfotos.ch - vor Weihnachten und in Zermatt wars immerhin etwas besser, 5 Skitage hab ich schon aufm Konto. Lustig ist diese Story hier, ausgelöst durch meine Beinbruch-Seite... das Knie fühlt sich soweit an wie immer - nicht supergut, nicht superschlecht, also sind wir doch zufrieden. Guten Start ins 2007 allerseits!

2. Januar 2007: Fast hats das gesunde Knie erwischt

... und das ohne Skis! 20cm Neuschnee liegen auf der Strasse, und mich legts zackig hin - ein Knacks im kurzzeitig überflexten gesunden Knie, oh nein, bitte nicht... Fortsetzung hier!

9. April 2007: Eine schneearme, aber coole Skisaion endet

Ein paar Skitage gibts noch, derzeit stehe ich bei 21 - so komme ich schlussendlich wohl auf gegen 30 Tage auf den Brettern. Derzeit bin ich in den Osterferien in Sedrun - das gabs noch nie: Jeden Tag herrliches Skiwetter, 10 Tage am Stück! Fotos gibts hier... das Knie hält sich wacker, die Verletzung am bisher gesunden Knie schmerzt immer noch leicht; das operierte Knie braucht täglich Voltaren, dann gehts recht gut. Am 17. April gibts das nächste Röntgenbild, am 8. Mai kommt voraussichtlich das Metall raus.

Freitag, 13. April 2007: Heute vor sechs Jahren...

... ist es passiert - zur Feier des Tages (es war der erste Freitag, 13. April seit "meinem" Freitag, dem 13. April 2001) war ich am Gemsstock in Andermatt skifahren, und alles lief gut :)

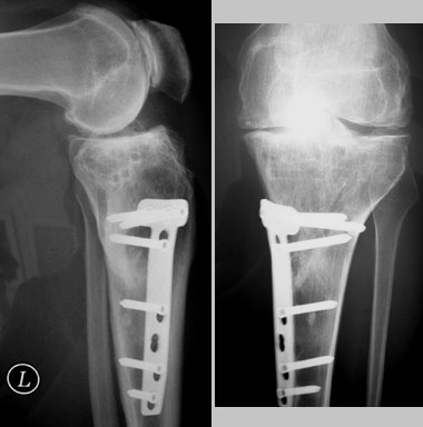
Sonntag, 6. Mai 2007: Bald kommt das Metall raus

... Daumen drücken bitte - am kommenden Mittwoch, 9. Mai 2007, gehts los! Das ist die Ausgangslage:


Mittwoch, 9. Mai 2007: Schon vollbracht

Das ging schnell - war lustig, dank Spinalanästhesie einmal alles mitzubekommen und live zu sehen, wie im Knie herumgestaubsaugt 9. Mai 2007, 14 Uhrwurde. Und so kann ich knapp drei Stunden nach dem Eingriff und einem kleinen Imbiss wieder herumtippsen, während die gute alte Kinetec-Schiene friedlich surrt und sich der Redonbehälter stetig füllt...

Anlässlich der Arthroskopie wurden ein paar Osteophyten entfernt und alles ein wenig geglättet - besonders Extrahiert! - Klicken für grössere Fassunggut siehts im Gelenk nach wie vor nicht aus. Aber die Streckung sollte nun etwas besser sein, nachdem das Teilchen rechts im Bild draussen ist.

Dann war das Metall an der Reihe - zuschauen konnte man da leider nicht mehr; einige Schrauben schienen aber recht renitent. Nach etwa total einer Stunde war der Spuk auch schon vorbei, und während des Nähens gabs noch ne kurze Fachsimpelei rund um Windows Vista. Wenn die Naht also nicht schön ist: Bill Gates ist Schuld.

Nette Aussicht!Vorgängig kam ich im Vorzimmer zum OP noch in den Genuss einer kleinen Anästhesie-Vorlesung und weiss nun fast alles über die Geschichte der Spinalanästhesie. Und dass durchaus auch Spitalpersonal Grey's Anatomy und Dr. House schaut...

So - jetzt leg ich mich etwas hin (auch wenn ich mich dank Spinalanästhesie recht fit fühle - kann ich nur weiterempfehlen, das Gefühl bzw. das nicht mehr vorhandene Gefühl ist einfach ein wenig strange am Anfang) und warte auf weiteren Bescheid, den gibts dann wohl morgen früh.

Das Zimmer im 5. Stock des Salemspitals ist noch gediegener als das letzte Mal: Direkter Ausgang zu einer kleinen Dachterrasse, Sicht auf die Altstadt...

Die meisten Bilder können angeklickt werden für eine grössere Fassung.

Das Metall... klicken für grössere Fasssung

Und wer will, kann sich hier noch die Fotos aus dem Inneren anschauen - klicken für grössere Fassung:

Arthsoskopiefotos 9. Mai 2008; Klicken für grosse Fassung

Donnerstag, 10. Mai 2007: Aussicht geniessen

10. Mai 2007 im Salem - Klicken für grosse FassungWas für ein Morgen! Die Aussicht vom Balkon wirkt Wunder: Ich humple schon ohne Krücken herum - wenn auch unsicher - und bin wohl bald mal beim gediegenen Karpfenteich anzutreffen. Kater Jimmy ist sicher auch wieder zugegen. Morgens um 6.45 Uhr wurde auch bereits der Redon-Schlauch gezogen; sieht alles gut aus, etwa 1dl Blutorangensaft, öh, Wundflüssigkeit war am Schluss im Behälter. Morgen kann ich schon wieder heim - Bewegung ist angesagt, um die gelösten Verklebungen nicht schon wieder entstehen zu lassen.

Bald gibts vermutlich noch Videoaufnahmen von der Arthroskopie - ich schaute der Arbeit im Kniegelenk gestern fasziniert zu, erinnerte mich an den Klassiker "Die phantastische Reise"... nur dass die Chirurgen nicht miniaturisiert selbst im Körper herumreisten.

Bild links: Sicht nach Hause - eigentlich hätte ich meinen WLAN-Router angeworfen lassen können, das hätte vermutlich knapp gereicht...

So... nun wartet die Physio und dann der schöne Garten!

Ach ja: Ein Mittagessen mit so einer Kulisse MUSS einen ja fast schneller gesund machen...

11. Mai 2007: Ab nach Hause

Eine Woche Arbeitspause, möglichst viel bewegen, aber nicht zu sehr belasten, Physio - so gehts die kommenden Tage weiter.

Das ging alles schneller und besser als erwartet, Schmerzen habe ich fast keine, alles ist einfach noch etwas geschwollen und gespannt. Aber: Ich bin happy! Das wars wohl von Knie-Operationen für das kommende Jahrzehnt.

13. Mai 2007: Fast schon alles wieder normal

Das ist unglaublich und 100x besser als erwartet - abgesehen vom üblichen postoperativen Ziehen und kleineren Schmerzen beim flexen habe ich null Probleme, gehe beinahe normal und fahre Velo... whow.

Hier ein kleines Bild vom letzten Verbandswechsel:

Stand 13.5.2007

3. Juli 2007: Alltag

Ausser dass ich fleissig Narbensalbe schmiere und Kraftübungen mache, ist wieder der Alltag eingekehrt - schon 18 Tage nach dem Eingriff wanderte ich leicht über die schottischen Highlands, wenig später lange durch Berlin, und auch wenn das Knie auf solche Anstrengungen noch etwas gereizt reagiert - ausser dem üblichen "Ziepen" und einem Schmerz bei Druck auf den Bereich zwischen Patella und Tuberositas ist alles OK. Gut so. Inzwischen weiss ich dank dem Ops-Bericht auch, dass nebst der Metallentfernung während der Arthroskopie ein Ventraler Tibia-Osteophyt (VTO) entfernt und einige weitere Blockaden behoben wurden.

Stand 3.7.2007

28. August 2007: Schlusskontrolle

Ich hatte heute meine Schlusskontrolle nach 6 Jahren und 4 Monaten dieser leidigen Geschichte... soweit alles OK, nicht perfekt, aber ich denke, so kann ich einige Jahre leben. Allenfalls gibts demnächst noch Hyaluronsäure-Injektionen, aber da muss zuerst die Verträglichkeit mit meiner Bechterew-Therapie (Remicade) abgecheckt werden.

27. November 2007: Genailer Skisaison-Start

So schön wars in Zermatt noch selten - und mit etwas Diclo-Salbe (besser bekannt als Voltaren, Ecofenac usw.) am Morgen und Abend sowie 150mg Diclo oral die ersten zwei Tage ging das auch ganz gut. Nachdem sich das Knie wieder an die Belastung gewähnt hatte, konnte ich die Medis auch zurückfahren. Bilder gibts hier!

23. Dezember 2007: Wunderbare Skitage

Das metfallfreie Knie macht die ersten grossen Sedruner Skitage perfekt mit; ich verspüre praktisch keine Schmerzen. Die Verhältnisse sind perfekt, das Glück auf Erden - wie man sieht, bin ich rundum happy!

Merry X-Mas everyone! Und allen TibiaköpflerInnen wenig Schmerzen und gute Gesundheit.

11. Februar 2007: Mehr Skitage als
im ganzen letzten Winter

Mit bisher 27 Skitagen habe ich den gesamten Winter 06/07 (25) bereits überflügelt - kein Wunder, Wetter- und Schneeverhältnisse sind besser denn je, und das Knie hält der Belastung problemlos stand. Die üblichen (auszuhaltenden) Schmerzen sind natürlich da, aber im Allgemeinen muss ich sagen: Perfetto... bei solchen Pisten kann man sich ja auch nicht beschweren :)

2. April 2008: 41 Skitage

Es waren wunderbare Ostertage mit unerwartet viel Sonnentagen; dem Knie geht es gut, auch wenn es teilweise etwas gar beansprucht wurde. Insgesamt 41 Skitagen in diesem wunderbaren Winter - bis Anfang Mai solltens noch 50 werden...

30. Dezember 2008: Ein Traum-Saisonstart

Dem Knie gehts soweit gut - perfekt wäre anders, aber Skifahren geht einigermassen problemlos: Keine Veränderung im Vergleich zur Saison 2007/08. Nicht schmerzfrei, aber OK. Und am 2. Februar 2009 füge ich happy hinzu: Schon 28 Skitage diesen Winter - gut so!

13. April 2009: 8 Jahre danach - 53 Skitage diese Saison

Mit 53 Skitagen habe ich diesen Winter den Rekord der Saison 04/05 egalisiert... und dem Knie gehts weiterhin gut - heute, am 8. Jahrestag des Unfalls, soll bitte möglichst auch wieder die Sonne scheinen!

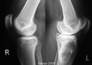
29. April 2009: Schaffe ich 60?

In Zermatt trete ich morgen früh Skitag Nummer 58 dieses Winters an. Gut! Es gibt auch wieder neue Röntgenbilder - auch wenn ich lieber auch links die Qualität des rechten Knies hätte, bin ich ganz zufrieden... kaum Veränderungen.

Röntgenbilder Februar 2009 - Klicken für grössere Fassung

Röntgenbilder Februar 2009 - Klicken für grössere Fassung

25. November 2009: Skisaisonstart

... ja, letzte Winter wurden es 60 Skitage - und der Winter 2009/10 ist auch bereits 3 Skitage alt. Das Knie hielt sich in Zermatt recht gut. Kaum Veränderungen, gut so!

21. Januar 2010: 23 Skitage

Soweit alles OK mit dem Knie - allerdings spüre ich nun vermehrt auch im eigentlich gesunden rechten Knie gewisse Belastungsspuren...

13. April 2010: 49 Skitage

Neue Ski mit schärfsten Kanten... das hat die Knie nach Ostern doch spürbar mehr belastet. Aber grundsätzlich ist alles OK - und das ist gut! Heute ist der Unfall genau neun Jahre her. Damals hätte ich nie und nimmer daran gedacht, dass ich in fast einem Jahrzehnt wieder so richtig Gas geben kann und noch kein künstliches Gelenk habe.

13. April 2011: 10 Jahre nach dem Unfall

Unglaublich... sind es wirklich zehn Jahre? Bin ich seither tatsächlich insgesamt wieder fast 365 Tage auf den Skiern gestanden? Jawoll! Diese Saison warens allerdings (bisher) wegen unseres Hausumbaus und des warmen Aprils "nur" 32 Tage.

Ich hoffe, das macht allen Betroffenen Mut. Auch wenn die ersten Tage nach dem Beinbruch nicht unbedingt erheben sind. Ich danke heute vor allem den Forumsmitgliedern, die durch ihre Diskussionen anderen Betroffenen helfen. Mehr zum "Jubiläum" in diesem Blogbeitrag.

3. Mai 2012: Eine Saison mit 41 Skitagen endet

Hm, was soll ich noch sagen? Alles OK mit dem Knie, schlicht und ergreifend.

Dezember 2012: Schmerzen!

Es steht wohl doch wieder mal eine Operation ins Haus... das Knie war 4 Tage lang "blockiert" - Treppen hinunter steigen war sehr mühsam. Im Röntgenbild sah man dann auch schön artig gewachsene Osteophyten. Da es nach einigen Tagen erstaunlicherweise von selbst wieder besserte, verzichtete ich auf weitere Schritte.

Weihnachten 2013: Soweit OK

Die Skisaison 2012/13 brachte 43 Tage auf der Piste, die laufende Saison 2013/14 auch schon deren drei. Das Knie fühlt sich OK an.

Ende 2019: Zeit für die Prothese

Fast sieben Jahre lang habe ich hier nichts mehr publiziert, weil es schlicht und ergreifend gut ging. Naja - so gut es halt gehen kann mit so einem Knie. Aber man lernt, gewisse Schmerzen auszublenden. Nun tritt ein, was mein Operateur schon 2001 prophezeite: "Sie werden wohl vor 50 eine Prothese brauchen."

Er sollte Recht behalten. Im September wird mir die Prothese eingesetzt. Angesichts der Alltagsschmerzen, die mich seit Sommer 2019 begleiten, ein unumgänglicher Schritt.

Es kann nur besser werden. Cortisoninjektionen brachten nur anfangs etwas, auf dem MRI erkennt man deutlich die Degeneration des Gelenks, und im Ultraschall ist sichtbar, wie ein Osteophyt hinten Richtung Nerven und Arterien wächst. Dieser Sporn verunmöglicht seit einigen Monaten zusehends auch Alltagstätigkeiten. Am 7.7.2020 habe ich mir den letzten Skitag des Lebens auf meinem natürlichen Kniegelenk gegönnt.

September 2020: Das Implantat ist drin

Das künstliche Gelenk wurde am 18. September 2020 erfolgreich eingesetzt. Alles dazu hier!



Werbung


Reaktionen von BesucherInnen dieser Seite

Zwischen April 2001 und November 2005 haben über 30 Betroffene hier ihre eigene Geschichte erzählt. Anfang 2006 habe ich ein Forum eingerichtet, wo Betroffene diskutieren können. Alle Einträge, die hier einmal standen, wurden ins Forum verschoben.

Ich möchte selbst ein Mail schreiben!


Autsch Home

Zum Seitenanfang

Werbung


webpublishing | kurse+texte | fotos+webcam | sounds
blog | yakome'tt | projekte | kontakt | datenschutz & impressum

last update 20.05.2018 14:18 © jacomet.ch 1999-2007

 



 

Stat